- J

Hello everyone,
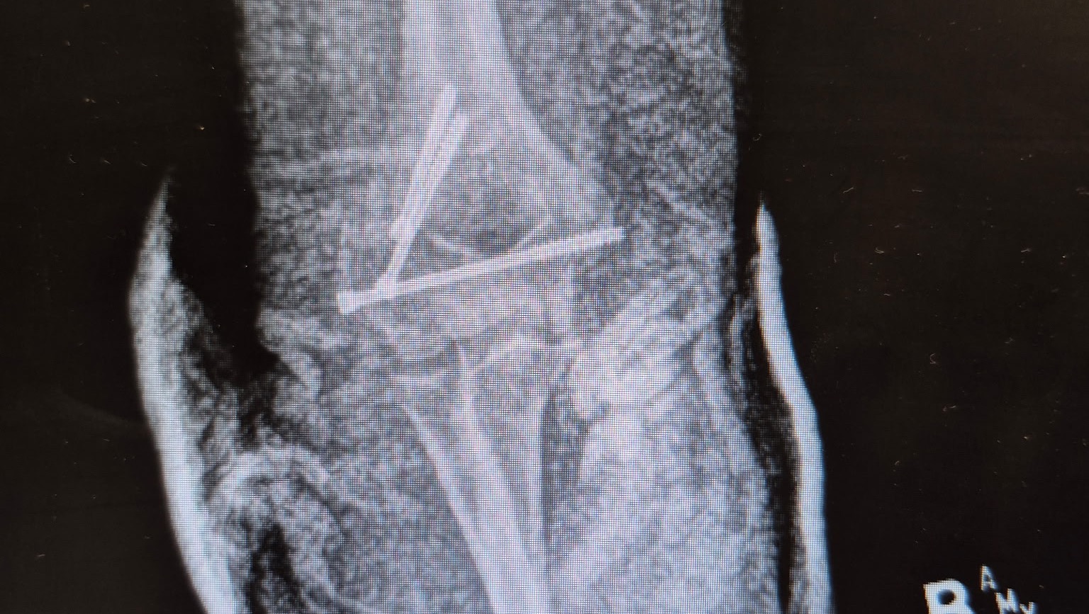
My name is Allie Koon, and in mid-January, I managed to fall on some black ice and both dislocate and fracture my right elbow. The injury required surgery to place three screws into my arm.
This has led to me losing my job along with some unexpected financial and emotional hardship. I don’t love having to ask for help like this, but I unfortunately have found myself in some financial dire straits.
I’m in the process of trying to recuperate some of this loss by filing for unemployment, but unfortunately, it has yet to have kicked in after waiting almost three weeks. In the meantime, I still have a lot of medical debt coming in along with utilities, rent, groceries, and pet supplies for my cat.
I know we’re all struggling, so I’m eternally grateful for any help that you’re able to provide.

