- M
- L
- E
Help Alejandra Fight for Her Life and Future
Alejandra is a vibrant and talented junior in high school, known for her bright smile, dedication to academics, and passion for dance. As a dedicated member of her school’s dance group and an enthusiastic student with a deep interest in criminal justice, Alejandra’s future was filled with promise. Unfortunately, her world turned upside down when a severe illness struck unexpectedly.
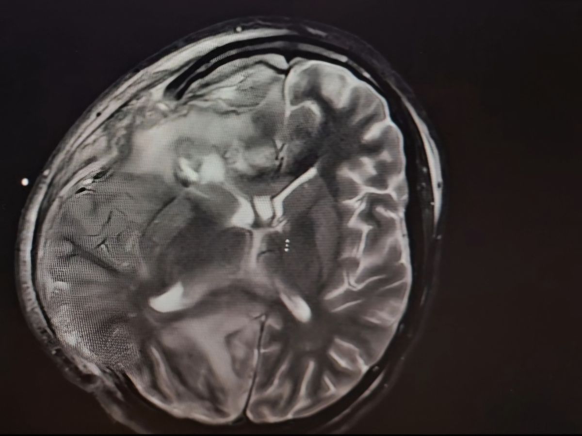
It all began with what seemed like a routine sinus infection, but quickly escalated to a life-threatening condition. The infection spread to the right side of her brain, causing serious complications. Alejandra is now nonverbal and unable to move the left side of her body, requiring multiple surgeries and ongoing medical care.
Her condition has been a constant rollercoaster of ups and downs, with moments of hope followed by heartbreaking setbacks. The infection has been diagnosed as a brain abscess, linked to Streptococcus intermedius—a rare and dangerous bacteria that has left her in a fragile state. The medical team is doing everything they can, but Alejandra’s prognosis remains uncertain, and her recovery journey will be long and difficult.
A Growing Concern: A Warning to Other Parents
Alejandra’s case is part of a worrying trend. The infection that led to her brain abscess started as a sinus issue, and doctors are noticing more children developing similar infections that spread to the brain. Just last year, Dr. Taryn Bragg, Alejandra's surgeon, worked with the CDC to investigate a rise in brain abscess cases in children. These abscesses often follow common illnesses like sinus infections or earaches, but in some cases, they rapidly escalate to more serious conditions that require multiple surgeries.
Symptoms to Watch For:
Headaches
Fever that comes and goes
Swelling around the eyes or above the eyebrows
Difficulty with coordination or balance
Sudden changes in speech or movement
If your child exhibits any of these symptoms, especially after a cold or sinus infection, it’s crucial to seek medical attention immediately. Early intervention can make all the difference.
The Financial Burden on Alejandra’s Family
As Alejandra continues her battle, her family is facing overwhelming financial strain. Her mother, a small business owner, has had to put her work on hold to be by her daughter’s side at the hospital. The mounting medical bills, travel expenses, and loss of income are putting immense pressure on them during an already stressful time.
How You Can Help
Every contribution, no matter how small, will make a significant difference in helping Alejandra and her family navigate this challenging time. Funds will go toward medical expenses, surgeries, and the cost of living while her mother remains focused on Alejandra's care.
Your support will not only ease the financial burden but will also provide Alejandra with the strength and hope she needs as she continues to fight for her life and her future.
Thank you for your kindness, prayers, and generosity during this incredibly difficult journey. Together, we can make a difference in Alejandra’s recovery.
Funds will be used on catching up of household bills, medical finacial responsibilities, sealy ease bed and rails, any medical equipment need, medications, therapy and anything else Alejandra needs to help with her recovery.

