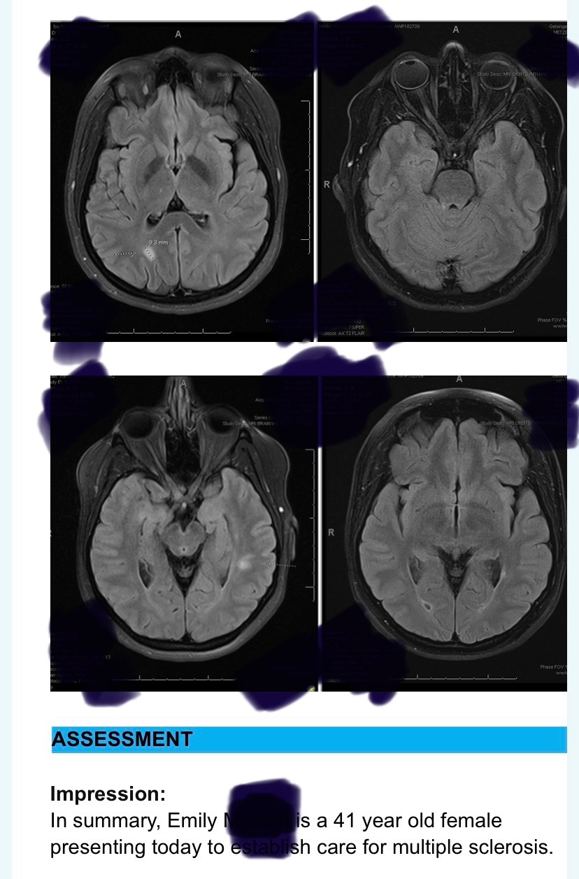
Hello, my name is Emily and I make ASMR content and I do live streams daily. I have multiple sclerosis, Mast cell activation disorder as well as alpha gal syndrome. With having all these conditions it makes it very difficult for me to find medication to help me. I suspect I have had MS since I was 21 years old. I had one brain lesion, but they could not give me a diagnosis at the time so I went years with no treatment. In 2013 I was diagnosed with Alpha gal syndrome from a tick bite, in 2017, I developed another tick bite and I started reacting to more things and foods. I suspect I developed mast cell activation disorder at that time. I was not diagnosed with mast cell disorder until 2025. In 2025 I was diagnosed also with multiple sclerosis due to having optic neuritis. I was admitted to the hospital where they found multiple lesions on my brain and spine.
I have had about five MRIs since then and it shows I have been having constant relapses with no remission. Back in April, they sent me to have steroid infusions and I started reacting to the prednisone. They now list it as an allergy. Within a year, I have declined significantly you may not see that by looking at me, but I can feel it, and it shows on all my tests.
My symptoms right now are that I have had optic neuritis in both eyes. I have blurry vision if I get overheated to the point where I feel like I’m going blind.
If I work out or walk anything more than 15 minutes, my vision starts cutting out. I recently saw my MS specialist who said I have left leg foot drop where my leg is a little heavier when I walk and I kind of drag it a little bit. my feet and hands are constantly numb. I wake up with whole body numbness, but that subsides throughout the day. My speech has been affected as well as my memory so sometimes I can talk and in the middle of a sentence I will forget how to finish the sentence.
My doctor suspects I have secondary progressive MS because I have been in a relapse for over a year with no remission. Stress as well as inflammation is bad.
I am currently seeking help from anybody who would like to contribute to helping me with bills. I need help to cover an overdraft bank account. If anybody contributes, it would help me out with money for groceries, I need to fix my car and I need to pay for a loan that I am past due on or they will take my car. I also have an overdraft that I need to pay because I am behind on bills, as well as other items I may need. I am also looking to fulfill something on my bucket list. I would love to go back home where I’m originally from and just be able to be near the water again. That cost a lot of money. I will never be able to live back there again. I don’t have any family that I speak to. I would love to go and spend the summer there, but I would need to pay for a hotel. I also would need to pay for transportation. I also have a loan that needs to be paid and I haven’t been able to pay it as well as other bills that have accumulated.
So if anybody has a kind heart and soul and wants to help somebody without expecting anything in return and would like to help from the kindness of their heart, any amount would be greatly appreciated.






