- M
- G
- K
Hello everyone. Here you will find the unimaginable story of Nadine Nietupski and the strength she's found to persevere.
Nadine is a 35-year-old who loves sunshine, plants, and a good hike. The goal of this GoFundMe is to help her regain her health and wellness so she can get back to living and enjoying these things.
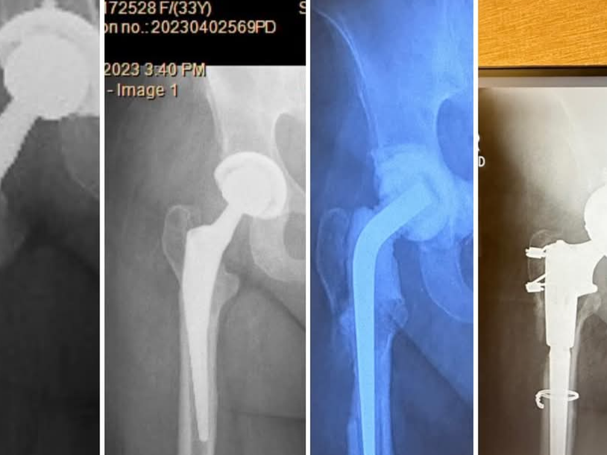
Nadine has endured living in constant pain since 2019 due to a misdiagnosed broken hip, and it's been a whirlwind of medical complications since. Nadine has undergone multiple hip replacements, all of which have needed to be removed and replaced due to recurring life-threatening infections caused by an under-functioning liver.
This journey has led to Nadine being unable to work, resulting in piles of medical bills and debt just to keep the lights on.
In addition, Nadine has an opportunity to be seen at the Mayo Clinic in Jacksonville, FL in mid-May by a team of people who may be able to stop this cycle of pain and suffering.
In order to make this life-changing trip and pay her bills, Nadine needs all of the people who love and care about her to pitch in and donate anything they can in order to stay afloat. Thank you to anyone who has read this story and is considering donating.
Organizer and beneficiary
Nadine Nietupski
Beneficiary





