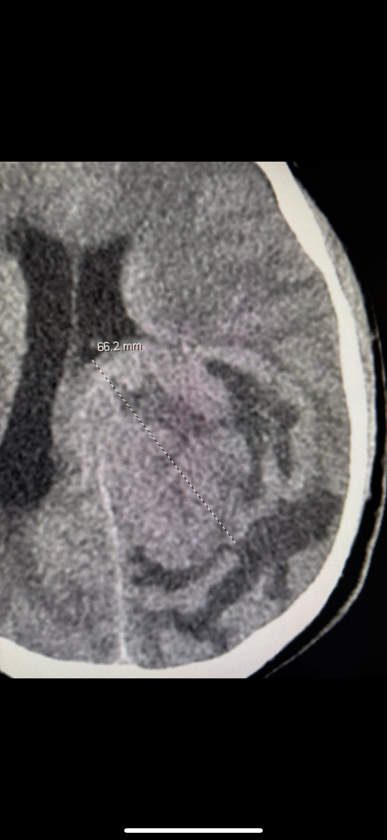
Hello my name is Sandi and my sons are the step brothers to Jared Bower. They have grown up with him most of their lives. Jared just turned 18 a few days ago and I’m sure this isn’t how he planned to spend his days. From what I understand Jared has been having symptoms since around Easter. On Thursday June 26th he went to the hospital for horrible headaches and neck spasms. He started having vision issues and throwing up which was not normal. After running a lot of test what was found was shocking, they found a very abnormal and massive tumor in his brain. Life Flight was in the plans but the weather had other ideas. Finally he was flown hours later to another hospital where they had to decide what was the next step. On Friday around noon Jared was taken in for surgery. Jared was in surgery for approximately 11 hrs when they had to stop as he was losing to much blood. They were unsure how much of the tumor they had gotten with all the bleeding. Jared will be having to have more surgery in about two weeks which is a much riskier and complicated surgery. This family could use all the prayers they can get. Please if you are able to donate to help this young man and his family I know they would greatly appreciate it. All funds will be going to help the family with lodging, travel, food as well as bills as they are unable to work at this time.
Here is an update from his mom from 6/29/25
This is Amber. Jared’s mom. Thank you all for everything you have done in such a short time. You have no clue how much stress has been lifted from us during this time as it’s costing $100+ a day to stay down here with him as well as financial loss from work. Here is an update from today.
Jared did well today. They were able to get him off the vent. He was eating cheeseburgers and joking around. Unfortunately they only were able to get about 25% of the tumor. They are saying it’s something they’ve never seen before. They said what they didn’t realize during his surgery was as they were “scooping” the tumor it was collapsing in on itself. So they weren’t able to get nearly as much as they thought they did. The mri look just about the same as before the surgery. So now on to plan B. He will remain in the neuroscience ICU. They are giving his brain a few days to heal. Then they want to do an angiogram of the blood vessels in his brain so they can identify the main vessels feeding the tumor. As well as the vessels feeding his brain. Once that is known we still have to wait for pathology report as the first was inconclusive and had to be sent for further testing. Whatever this is, is rare and unknown. Once we get the answers to those two then they will all come together with a plan to go back in and remove, god willing, the remainder of the tumor. This could be in a week. Maybe more maybe a couple days less. He is doing well though. He has issues with his vision and function of his left foot/leg. So for all his friends out there. We are trying to help him as much as we can get through his Snapchat’s and texts. It’s hard for him to read and text back. Please continue the prayers, answers, for complete healing and a prayer for patience for all of us but especially Jared. Who said to me “just tell them to get it out now so I can get back to my life” He is not one to lay around in bed and he was getting anxious about that. So please pray and encourage him to rest and have patience throughout this journey. He is now sound asleep and has had little pain. Thank you everyone!!!! You have no idea how much it means to all of us.
Update from 7/4/25 from Amber Jared’s mom
Prayers for J-Rod as we prepare for his second brain surgery tomorrow. We have a couple answers, he has Ependymoma which is a rare CNS tumor that usually occur in younger children. But can occur in teens and young adults as well. We are not sure how long he’s had this but they do feel it’s been pretty slow growing. Imaging has shown that it has not spread. This type can spread through the spine but unlikely to go beyond that. But as far as Jared’s it is localized to the original tumor in his brain. Although massive in size. We thank the good Lord, our Heavenly Father, for that. We don’t have staging yet as that’s an additional and timely part of the pathology and likely won’t have that until next week due to the holiday weekend. Hopes are that he will get the first slot in the AM for surgery. But that’s also dependent on the pediatric neurosurgeon that took over his case. As he has been away on vacation. They want to make absolutely sure he is completely up to date and has a good surgical plan in place. If he needs additional time tomorrow, then so be it and his surgery will be a little later or tomorrow night. PT did get him up using the walker and into the chair. Still lots of struggles with the left side but they were happy with how well he did. It’s a good possibility they will get him in a wheelchair and outside this evening to see the fireworks to local golf course sets off as he can’t see them from his window. That is a process due to his drain. But they are pretty sure we can get that done. Please all continue to keep him in your thoughts and prayers. As always. I thank everyone for the generosity, as of right now there are no medical expenses but we have our expenses to stay here with him, food, accommodations, gas, daily living needs as well as lots of snacks for Jared. Funding also goes to travel back home to take care of things and give his youngest sibling Riley a bit of a break as well as trying to pay bills as I have had a total loss of income right now to be with him and under FMLA. So I thank you all for allowing me to be able to be with my son at all times during this. We pray that after surgery the treatments will be minimal and we are able to get him back home sooner rather than later. There will most likely be at least some radiation therapy depending on if they are able to resect the whole tumor and what the grading/staging is. He will also need physical and occupational therapy, to what extent, we don’t know right now. Again thank you all and I will keep you updated as much as I can after surgery. Let’s get this young man back to the crazy J-Rod that loved to test his mom’s anxiety with his antics.
Update from Jared’s mom 7/5/25
Quick update for now. Jared’s surgery is pushed until Monday. His surgeon wants his “A team” with him for the surgery. He has a specific OR team that knows his moves and what he’s doing before he even does it. He doesn’t work with the weekend team a lot so he feels more comfortable waiting. Love love love his new surgeon. Will post more detailed update later on what all he said. Right now this mama is going to rest for a bit. Keep them prayers coming!!
Update from Jared’s mom 7/6/25
A little more in depth update from yesterday’s…. Pathology showed a rare tumor called an ependymoma. Only about 200 diagnosed a year. These are usually benign tumors and can be slow or fast growing. They do feel his has been on the slower growing side just based off symptoms. Benign vs cancerous depends on the stage/grade. The highest stage is considered cancerous as it can spread outside the central nervous system and is very aggressive. There is no evidence of that. We are hoping to get that final staging back this week from the lab. Delays due to the holiday weekend. His new surgeon is incredible and has worked with these tumors before. He made us aware of all the mistakes made by the Cedar Crest surgeon. The left side partial paralysis/weakness is due to them going through right side healthy brain to get to the left side tumor and the “bruising, dried blood” on that side has what led to this. He does feel that will resolve with extensive rehab and healing. Last night while helping wash his feet we unintentionally found out he is once again ticklish on that left foot. Which had us all cracking up and gave some relief that feeling is coming back.
So for this tumor. The biggest hurdle is complete resection of it as these tumors do recur and he will be monitored his entire life for them. The hard part is there is a lot of it right by the optic nerve and the nerves that control the RIGHT side of his body. The surgeon does feel that with removal he will experience some of this but is hopeful with in patient rehab his brain and the nerves will bring most or all function back. That’s not something we can predict. Surgery is scheduled for first thing Monday (tomorrow) morning. After surgery, once he is stable they will run another mri to make sure they got it all, as sometimes the margins may get a little “fuzzy” but typically the margins are fairly clear. IF they see anything on the post op MRI they will return to the OR on Tuesday to remove any remaining cells. IF they can safely do so without further complications. If not. Radiation may be needed but radiation is not always helpful with this type of tumor and there is no clinical evidence that supports chemotherapy is helpful. So let’s all prayer for a safe and complete resection!!!
Update from Amber Jared’s mom 7/8/25
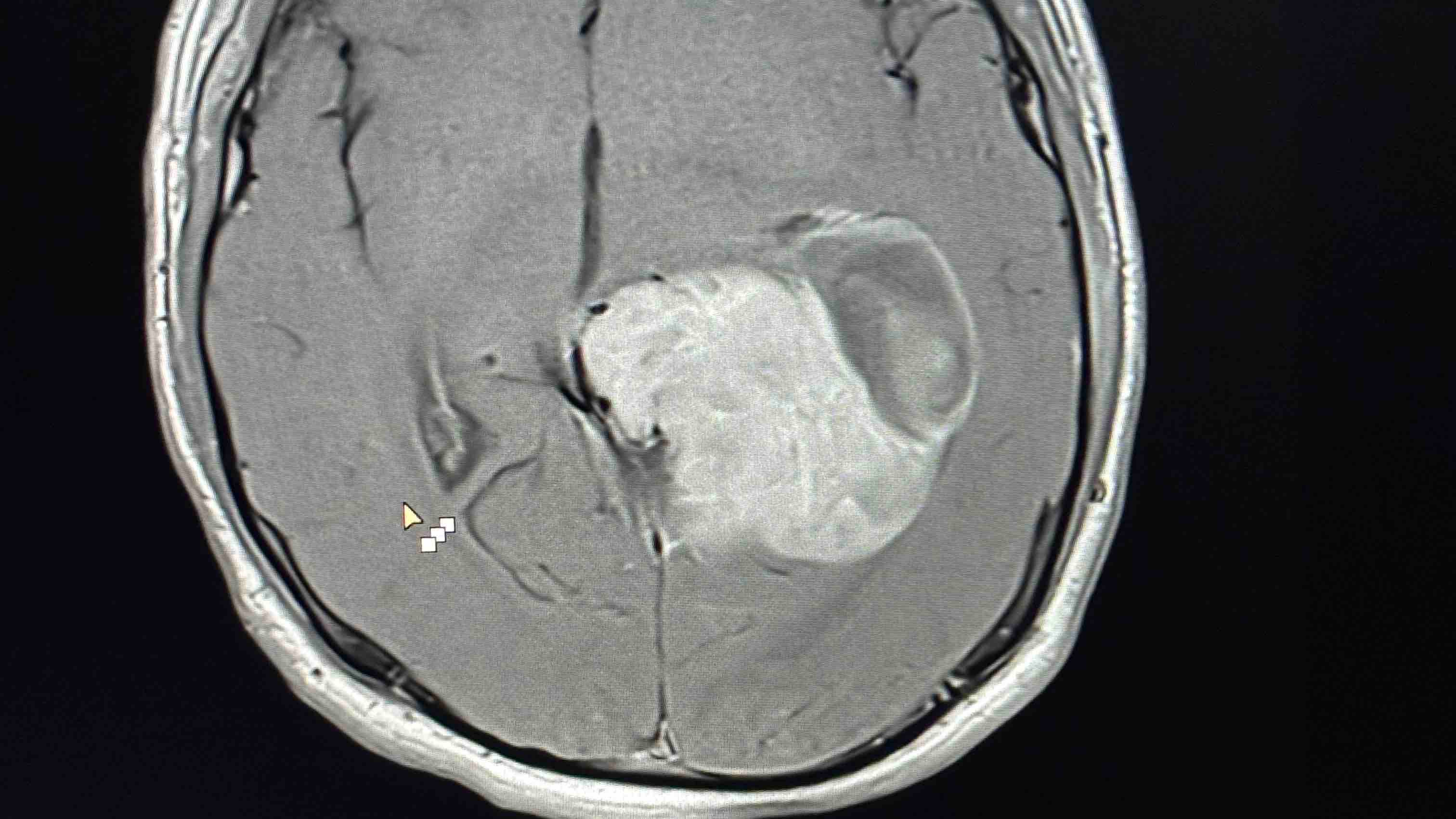
For those that may not follow my facebook posts, I apologize for delayed updates. Jared had his second brain surgery yesterday. Everything went extremely well with no complications. He had a rough night last night from post op pain. This was the first time since that first night we got this diagnosis that he has been in pain and for that we are thankful. For today Jared had less pain today which was great. Still a little more pain this evening but is resting comfortably now after another pain reliever/muscle relaxer cocktail. He got his post op MRI and no visible signs of any remaining tumor!!! Praise God!! We still have a long wait for complete pathology to determine if they will do radiation for any microscopic cells that may linger that imaging can’t pick up. He did get up and in the chair for a bit today. Still struggling with that left foot, so he finally got the brace to help with that when walking. They had originally planned on blocking his “brain drain” or “charging part” (as he calls it) tomorrow for 24 hours and then a CT on Thursday to see how he is doing. But he’s had a slight fever of 100.9 and elevated white blood cell count. So I am not sure at this time if that’s still the plan. They aren’t too concerned but they are being proactive and started him on 2 IV antibiotics while we wait for cultures of the CSF, blood, urine, and nasal swab to come back. Will talk more in the AM to his surgeon to see if that’s still safe to do. If all is safe and clear he may possibly be able to get out of PICU Thursday or Friday and moved upstairs. Please continue to prayer for Jared that this fever is a simple post op fever and not an infection. As well as continued prayers for best possible outcome with pathology and that he will start to regain sensation in the left foot. He still has a long road ahead of him but he is a fighter. Pictures are pre op and post op MRI images.
As I was writing this the preliminary urine culture came back clean. And a couple of his CSF cultures came back. CSF had high protein and blood but the sugar level was good. So we will continue to wait on the rest of the CSF cultures as well as blood and nasal swab.
Update from Amber 7/11/25
Jared is on the road to recovery. This will be a long and hard battle as he still has no feeling in the lower left leg and foot as well as complications with his vision. He has a real hard time getting his eyes to focus. He’s finally off all medications except for heparin to help stop any blood clots and pain relievers if needed. He finally got the drain out yesterday after a little scare and he had to go back to the OR because part of the drain got stuck inside his head. Luckily, that was an easy fix. They also removed the staples from his first surgery. So now he just has stitches from the life saving surgery performed here in Danville. All cultures came back clear and negative for any infections. His hemoglobin, White Blood Cell Count, Sodium, and calcium levels are all now back to normal. He has been moved from the PICU and is on the regular peds floor now until he can be discharged either to inpatient rehab or home with extensive outpatient rehab. We will know more early next week on when that will be, depending on his progress over the weekend. Ortho fitted him with a brace today to stop the left side foot drop to help him walk better. He also was able to get a shower today and go outside in a wheelchair and get some fresh air. There is still a long road to recovery and we still have to wait for pathology to determine any future treatments. But we are moving in the right direction and he is determined to get well so he can get back to work (imagine an 18 year old concerned about working) and of course to his friends and life! This part I think is even more heart breaking to watch my boy go from an active and hard working teen to one just putting every effort into being able to walk. Pictures of incision on left side from tumor removal and right side from first surgery. Please continue to pray, share, and donate if able.






