- G
- J
Unsere Katze Mini braucht Hilfe
Hallo,
mein Name ist Lia, und ich wende mich mit einer großen Bitte an euch – im Namen unserer geliebten Katze Mini.
Mini ist ein lebhaftes, freies und sehr menschenbezogenes Katzenmädchen. Sie gehört zu unserer kleinen Familienkatzen-Gruppe und ist für uns nicht einfach ein Haustier, sondern ein geliebtes Familienmitglied.
Was passiert ist:
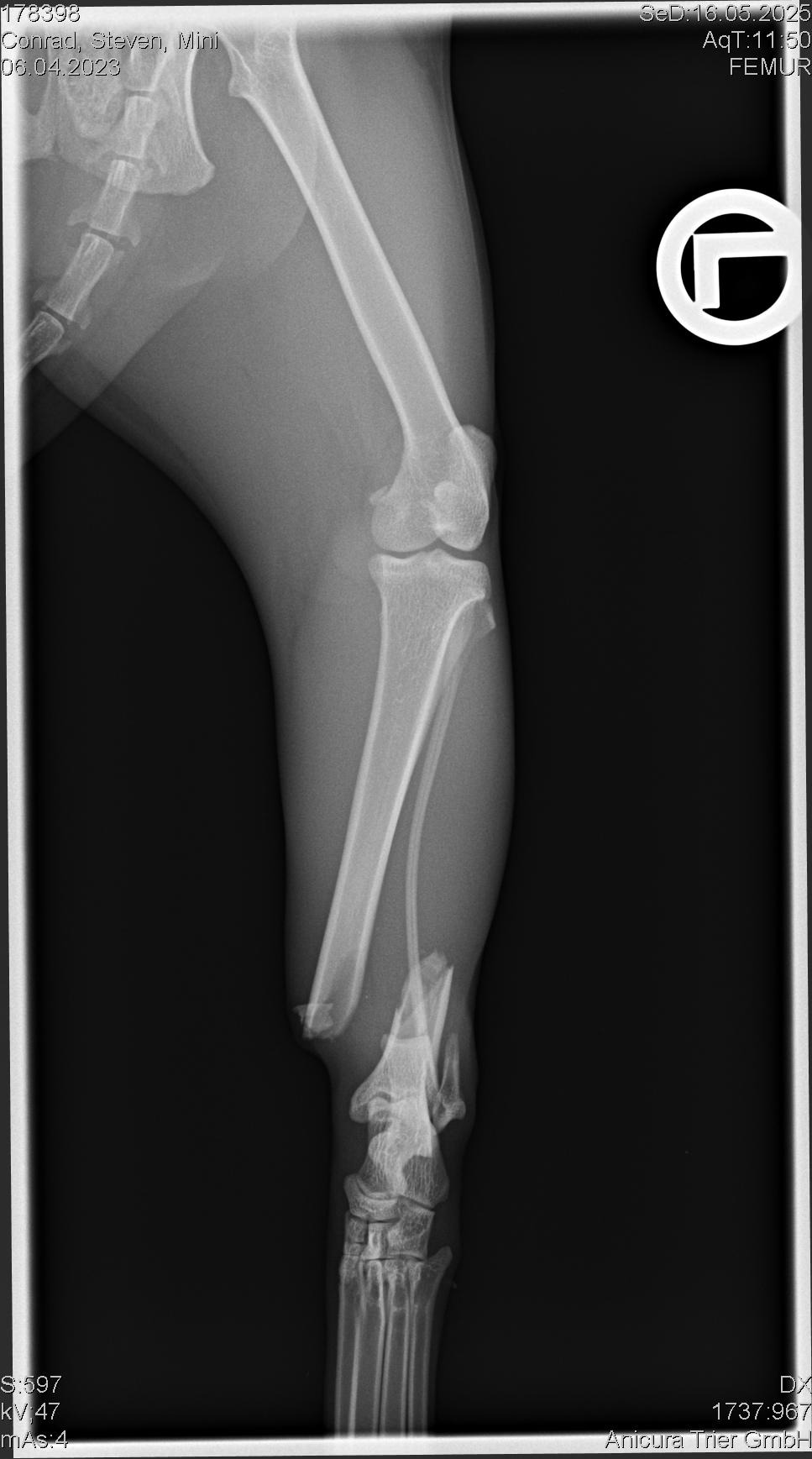
Am 16. Mai 2025 musste Mini aufgrund einer schweren Verletzung am Sprunggelenk operiert werden. Die Operation war aufwendig – es wurde eine Metallplatte eingesetzt, und sie musste anschließend acht Wochen lang in strikter Boxenruhe verbringen.
Die OP war notwendig, damit sie überhaupt wieder schmerzfrei laufen kann. Die Kosten dafür lagen bei über 2.500 € – und haben uns ehrlich gesagt das finanzielle Genick gebrochen. Trotzdem haben wir keinen Moment gezögert, weil Mini uns einfach zu wichtig ist.
Wie es weitergeht:
Jetzt, wo die Heilung fortgeschritten ist, stehen wichtige Nachsorgetermine an:
Kontrollröntgen, um zu prüfen, ob alles korrekt verheilt ist
Blutuntersuchungen, um mögliche innere Belastungen auszuschließen
Nachsorge und ggf. weitere Behandlungen wie Schmerzmittel oder Aufbaupräparate
Diese nächsten Schritte sind entscheidend, damit Mini wieder ganz gesund wird – aber auch sie sind wieder mit Kosten verbunden, die wir aktuell nicht mehr allein stemmen können.
❤️ Wie du helfen kannst:
Wenn du uns unterstützen möchtest – sei es mit 5 €, 10 € oder einem kleinen Beitrag deiner Wahl, oder auch einfach durch Teilen dieser Aktion – dann hilfst du uns, Mini die Versorgung zu geben, die sie jetzt braucht.
Jeder Beitrag zählt. Und jede Unterstützung bedeutet für uns die Welt.
Vielen lieben Dank – im Namen von Mini und unserer ganzen Familie
Lia





