- R
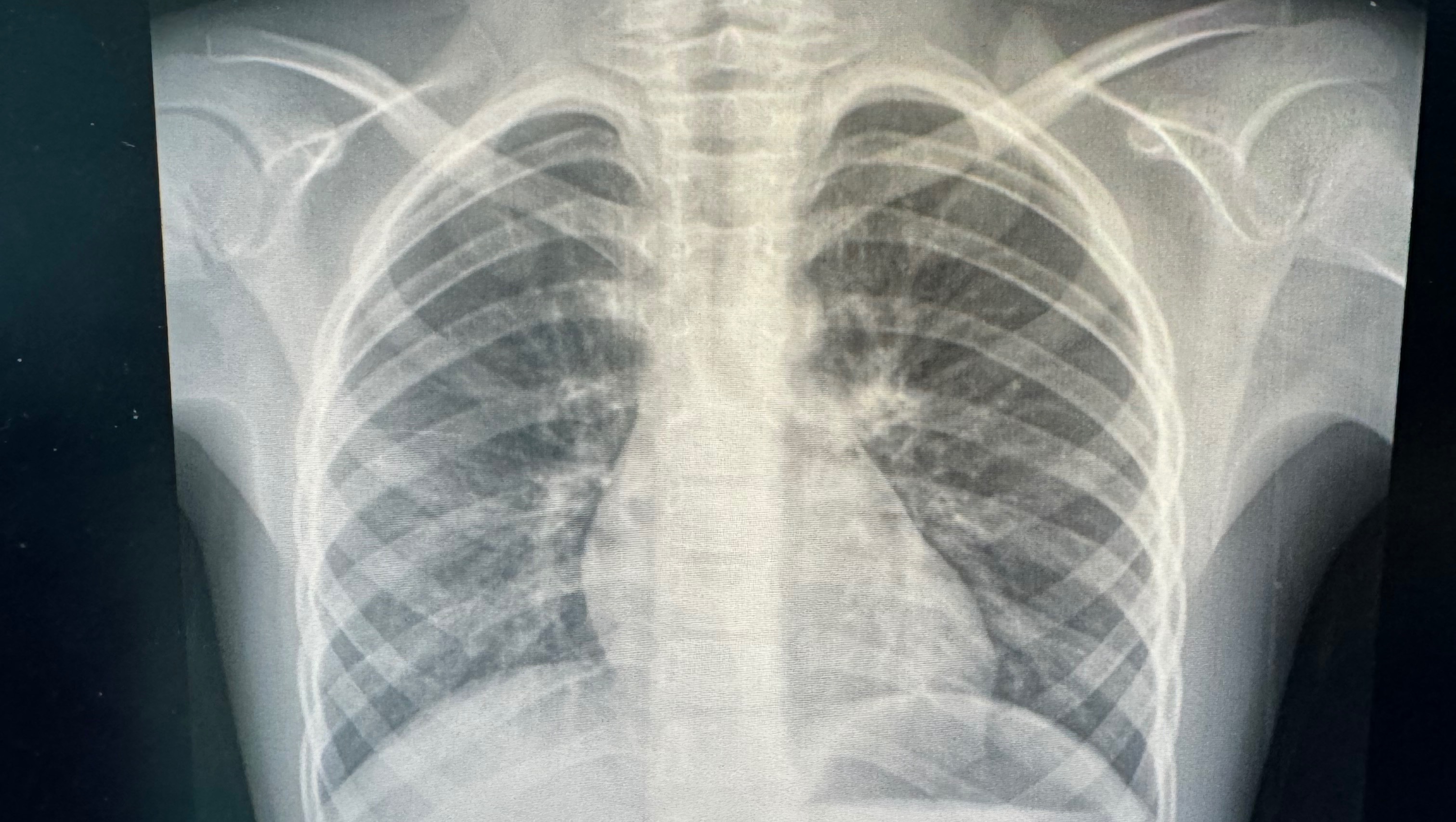
Hola mi nombre es Lia, estoy por cumplir 8 años y estoy recaudando fondos para poder solventar los gastos de mi tratamiento, desafortunadamente eh desarrollado un caso de asma grave, dermatitis atopica y rinitis alergica
Estas enfermedades han sido un desafio constante para mi y para mi familia, hemos enfrentado dias dificiles, pero no hemos perdido la esperanza. El asma y las demas enfermedades requieren tratamientos especializados y medicamentos muy costosos, lo que ah sido un gran estres financiero. A pesar de los constantes esfuerzos de mi mama por proporcionarme el mejor tratamiento posible mi condicion sigue siendo un desafio diario. Por eso quiero contar con su apoyo para poder solventar los gastos medicos y asegurar que tenga acceso a los tratamientos y medicamentos que necesito para mejorar mi calidad de vida. Tus donaciones seran utilizados para cubrir todos los gastos desde consultas, estudios y medicamentos.
uno de los medicamentos que me comenta mi doctora que soy candidata es dupilumab que en el mercado está arriba de los $34,000 pesos y es una dosis de un mes
Agradecemos cualquier ayuda monetaria que tengas por ofrecer. Tu apoyo es importante para mi en este momento. Gracias por considerar esta causa y ser parte de este proceso conmigo

