- C
- L

Sheridan didn't want me to do this, but I didn't give her a choice. Sheridan, Daniel, Carter, and Sawyer need our help! I will sum up Sheridan's cancer story, but if you want to know more details, she has a Facebook blog here: Sheridan is still kicking Cancer's butt
Sheridan and Daniel married for 20 years and have two boys, Carter (17) and Sawyer (12). They grew up in Arizona, relocated to Washington state several years ago, and created a comfortable life here. Daniel and Sheridan are very musically inclined and are a big part of the worship team at their church. Sheridan has a beautiful voice and a great sense of humor and is a follower of Jesus. She brings light to any room she walks in, is selfless, and is a friend to everyone she meets.
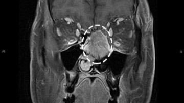
Sheridan was first diagnosed with a rare and aggressive cancer called Sinonasal Undifferentiated Carcinoma (S.N.U.C.) in October 2018. It's cancer originating in the epithelial layer of the nasal cavity or paranasal sinuses. She had just gotten glasses for the first time and started getting headaches. Sheridan thought the new glasses caused the headaches and growing bump. Several visits to the doctor and testing told her she had a brain tumor. The tumor was growing between her eyes and was quite noticeable.
She started chemo on October 18, 2018, and the second dose a week later. By November 5th, a miracle happened...the tumor disappeared! It was 100% gone. The doctors and nurses couldn't explain it. Exciting news! Chemo and radiation continued.
Then, her second fight began. The tumor returned, and the chemo and radiation started again. She had surgery to remove cancer, and that was a success. Sheridan had an MRI, and it showed no signs of cancer.
Unfortunately, this time (2021 - current), cancer returned. Sheridan has been in her THIRD fight for the last year or so. She's been bedridden and sick most of this time. She was getting weekly chemo, but she got too weak and had to take a two-month break over the summer to gain weight. She was finally able to eat and gained nearly 20 pounds. The tumor is pressing on her left eye area, making her vision blurry. It's not safe for her to drive her son to school anymore. The tumor is growing.
An MRI is ordered, and hopefully, another surgery appointment is set.
Daniel applied for Family Medical Leave, but they are basing his FMLA pay on some weird dates that don't allow him enough income, so he's reapplying in November. He needs to be home with his family during this difficult time.
Sheridan and Daniel could use financial help. Once Daniel receives FMLA pay, it won't be enough to cover everything, plus the necessary car repairs. Anything helps.
Organizer and beneficiary
Daniel Ward
Beneficiary

