- S
Hey I’m Kane, I’m from London, I was road tripping across the US with my dog, Lucy. We made it from NYC north west all the way to San Fran. We were on our way back through the south when she was hit by a car at a campsite in Lake Whitney state park, Texas.
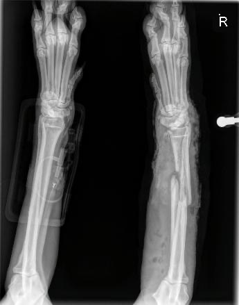
She got emergency care in Texas, I then drove to NYC as we were given the all clear to fly by the Texas vet. When we got to NYC and found a vet they said she definitely can’t fly. The wound is too large and needs time to heal before she can safely travel. It’s been very overwhelming and I know no one in this city which is making it even harder.
So I’m stuck here with vet bills (currently at 19.5k and rising) and that doesn’t include my accommodation and transportation costs.
I know this is going to ruin me financially and I’m ok with going into credit card debt to save her but the bills are piling up and I really need some help. I’m going to run out of money soon even with my credit cards. I can’t work so have no income streams right now other than subletting my flat back home which leaves me after paying all my rent here and back home with a couple hundred extra to pay bills and direct debits
Any help would go a long way, nothing is too small






