Please Help Us Save Bella
Life-Saving Surgery for Our Sweet Pomeranian
Bella is our beloved 6-year-old Pomeranian. She is irreplaceable and a deeply loved member of our family. The bond between Bella & Laurie is unbreakable. Bella has the sweetest soul, the gentlest heart, and has a way of making everyone around her feel loved. To Laurie and all of us, Bella is not “just a dog”—she is family in every sense of the word. She’s our constant companion, and the little soul who fills our home with love and joy every single day.
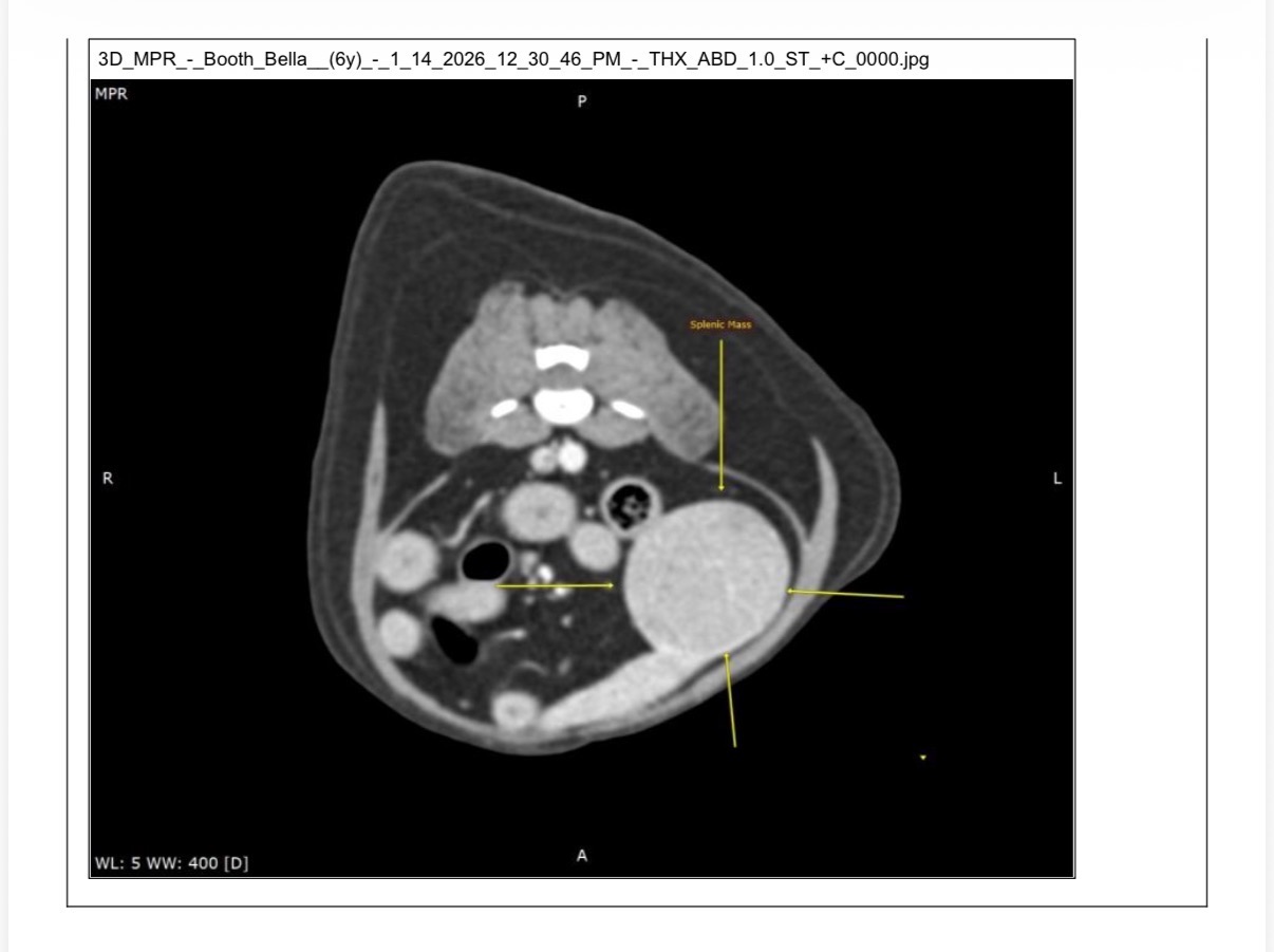
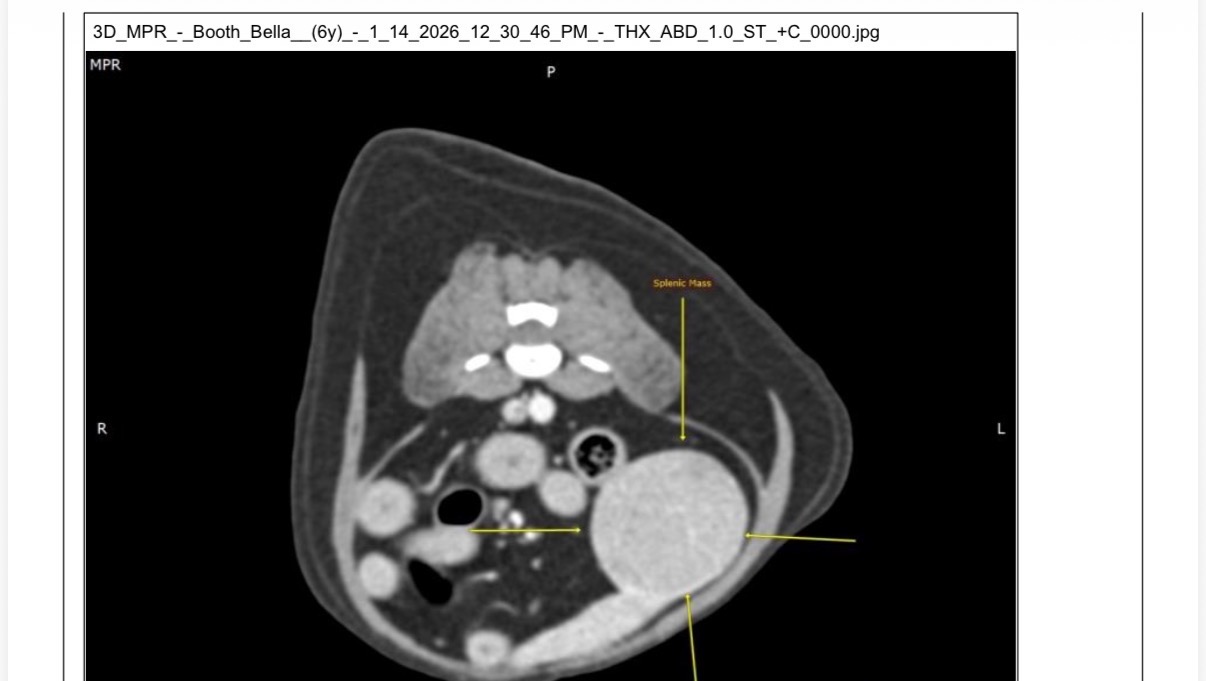
Recently, Bella became very ill. After extensive & expensive imaging, we received devastating news: she has a tennis ball–sized tumor on her spleen. She is in significant pain and without surgery she will not survive.
The only chance to save her life is surgical intervention immediately to prevent the large tumor from rupturing her spleen which would cause her to bleed internally. This is something she would not survive from.
This surgery is costly, and while we are doing everything we can, we simply cannot do it alone. This surgery is her only chance at life.
The cost of this emergency surgery is more than we can manage on our own. We never imagined having to ask for help like this, and it is incredibly difficult for us to do so. But Bella is still so young, and we are not ready to say goodbye. She deserves the chance to heal and continue living the joyful life she brings to all of us and everyone who knows her.
Bella has given us years of unconditional love, loyalty, and comfort. Now she needs us—and we are humbly asking for help from anyone who is able to. Every donation, no matter the amount, goes directly toward Bella’s surgery, recovery and ongoing medical treatments. If you’re unable to donate, sharing Bella’s story is just as meaningful and appreciated.
From the bottom of our hearts, thank you for taking the time to read Bella’s story, for your kindness, your prayers, and your support. We are beyond grateful for any help you can offer in giving Bella the chance to heal and continue being the bright, loving soul we cherish so deeply.
We are endlessly grateful for your kindness, compassion, and support during this heartbreaking time. Thank you for helping us give Bella the chance to live, love, and stay with her family for many years to come.
We will keep you updated on her progress






