- N
Ayuda urgente para Reina – Una caída en la madrugada cambió su vida
Hola, mi nombre es Petra Sotillo Hermoso y hoy quiero compartir con ustedes la historia de mi hermana mayor, Reina Hermoso, una mujer de 78 años, amorosa, noble y fuerte, que está atravesando uno de los momentos más duros de su vida.
Reina vive en Valencia, Venezuela, junto a nuestro hermano Pablo y su esposa, Dominga, quienes la han estado cuidando y apoyando económicamente en todo lo que pueden. En la madrugada de esta semana, mientras iba al baño, Reina resbaló y cayó con fuerza. Pablo y Dominga estaban dormidos hasta que escucharon el golpe. Corrieron alarmados a socorrerla y, sin perder tiempo, la llevaron a la emergencia.
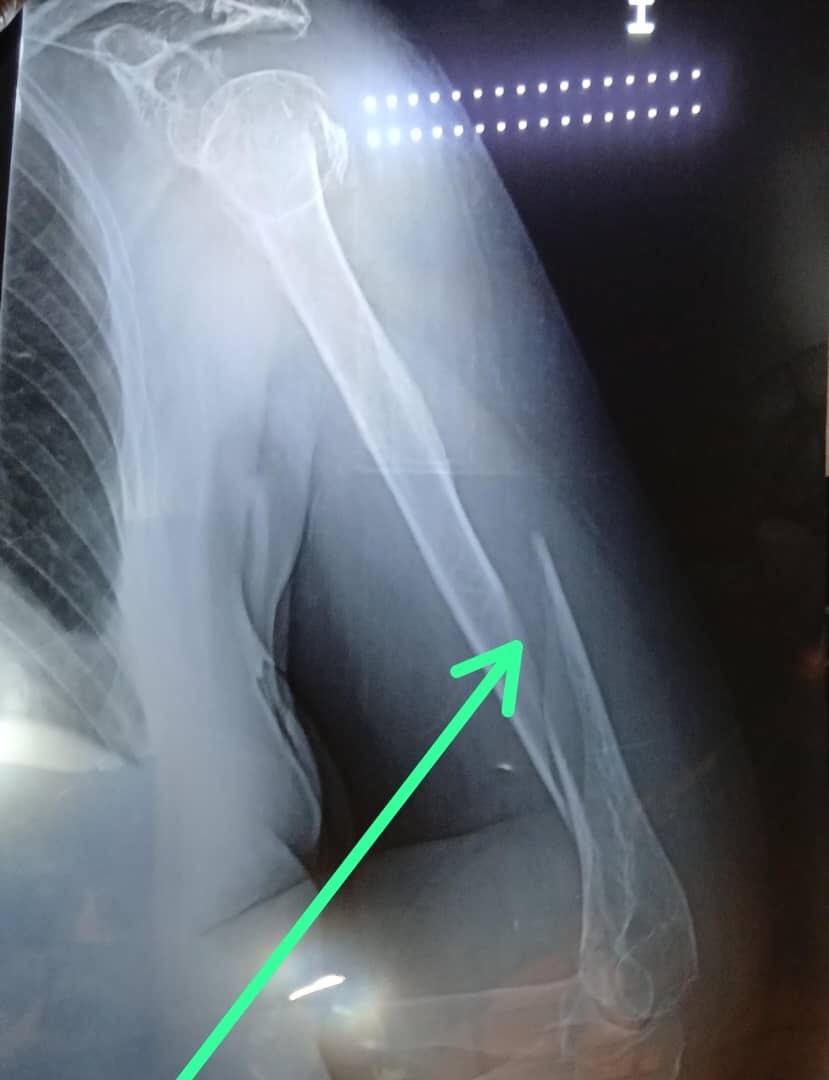
El diagnóstico fue devastador: fractura múltiple en su brazo, de grado quirúrgico. A su edad, una caída así no es solo una fractura… es un riesgo enorme para su salud, su movilidad y su estado emocional. Lo más triste es que Reina también ha estado sufriendo episodios de pérdida de memoria, y esta situación la tiene muy confundida, angustiada y con mucho dolor físico y emocional.
Los médicos han indicado que necesita una cirugía urgente, pero como muchos saben, en Venezuela los hospitales no cuentan con los recursos necesarios. Nos toca conseguir absolutamente todo por nuestra cuenta: desde el alcohol, guantes, gasas, jeringas, los yesos, los medicamentos, los jelcos, hasta los materiales quirúrgicos especializados. Además, debemos pagar de forma individual al doctor, al anestesiólogo, a los enfermeros y a todo el equipo médico, porque el hospital no cubre estos gastos.
Todo esto, en un país donde los precios están dolarizados y una sola medicina puede costar hasta 10 veces el salario mensual de una persona. Nuestra familia está haciendo todo lo que puede, pero esta carga es demasiado pesada para llevarla solos.
Por eso, hoy te pedimos tu ayuda. Tu solidaridad. Tu mano amiga.
Cada aporte, por pequeño que sea, puede marcar una diferencia real. Y si no puedes donar, por favor, ayúdanos compartiendo esta campaña con tus contactos. Entre todos, podemos darle a Reina la oportunidad de sanar, de volver a moverse, y de seguir adelante con dignidad y sin dolor.
Gracias por tomarte el tiempo de leer estas líneas. Gracias por tu corazón solidario. Que Dios te bendiga por cada gesto de amor y apoyo. Todo suma en estos momentos difíciles.
Con todo nuestro cariño y esperanza,
Petra
Urgent Help for Reina – A Fall in the Early Morning Changed Her Life
Hello, my name is Petra Sotillo Hermoso, and today I want to share with you the story of my older sister, Reina Hermoso, a 78-year-old woman who is loving, kind, and strong, and is going through one of the toughest moments of her life.
Reina lives in Valencia, Venezuela, together with our brother Pablo and his wife, Dominga, who have been taking care of her and supporting her financially as much as they can. Early this week, while going to the bathroom, Reina slipped and fell hard. Pablo and Dominga were asleep until they heard the impact. They ran alarmed to help her and, without wasting time, took her to the emergency room.
The diagnosis was devastating: multiple fractures in her arm, requiring surgery. At her age, a fall like this is not just a fracture… it is a huge risk for her health, her mobility, and her emotional state. What’s even sadder is that Reina has also been experiencing episodes of memory loss, and this situation has left her very confused, distressed, and in a lot of physical and emotional pain.
The doctors have indicated she needs urgent surgery, but as many know, hospitals in Venezuela lack the necessary resources. We have to get absolutely everything on our own: from alcohol, gloves, gauze, syringes, casts, medicines, IVs, to specialized surgical materials. Additionally, we have to pay individually for the doctor, anesthesiologist, nurses, and the entire medical team because the hospital does not cover these expenses.
All of this is happening in a country where prices are dollarized, and a single medicine can cost up to 10 times a person’s monthly salary. Our family is doing everything they can, but this burden is too heavy to carry alone.
That is why today we ask for your help. Your solidarity. Your helping hand.
Every contribution, no matter how small, can make a real difference. And if you cannot donate, please help us by sharing this campaign with your contacts. Together, we can give Reina the chance to heal, to move again, and to continue forward with dignity and without pain.
Thank you for taking the time to read these lines. Thank you for your compassionate heart. May God bless you for every act of love and support. Every bit helps in these difficult times.
With all our love and hope,
Petra
Organizer and beneficiary
sandy sotillo
Beneficiary





