Support for a Brave Motorcycle Accident Survivor: together, we can help rebuild a life
On August 6, 2025, our friend and loved one, Jeff Morton, experienced a life-altering motorcycle accident in Sturgis; a semi-annual ride he has been making for 14 years. In a matter of seconds, everything changed from riding with 16 other bikers, hitting a tar snake, avoiding two other oncoming bikers, to hitting a third. Jeff’s favorite thing was taking Sturgis’ virgins—first-timers and showing them all the beauty Sturgis and the surrounding area has to offer. What began as a routine ride on Route 14 out of Sundance, Wyoming, heading toward Devil’s Tower, one of his favorite roads to ride, ended with a devastating collision. Needless to say, Jeff’s injuries were severe and extensive. He has a long road to recovery and will never regain life as he knew it. His life was totally flipped upside down.
Jeff was immediately life-lifted to Monument Hospital in Rapid City, SD with 26 broken bones. He was in ICU for eight days, followed by another 12 days on the polytrauma floor. On August 27th, Jeff was medi-lifted by being strapped to a backboard, placed on a twin-engine plane headed to Mary Free Bed in Grand Rapids, Michigan. Unfortunately, this flight was brutal as the hospital failed to provide pain medication for the three-hour flight. He remained at Mary Free Bed until October 20th where he received PT and OT while being non-weight bearing on all four extremities.
Physical Injuries:
• Broken femur with a 17” rod.
• Multiple compound fractures on right foot crushing all four metatarsals requiring three reconstructive surgeries so far.
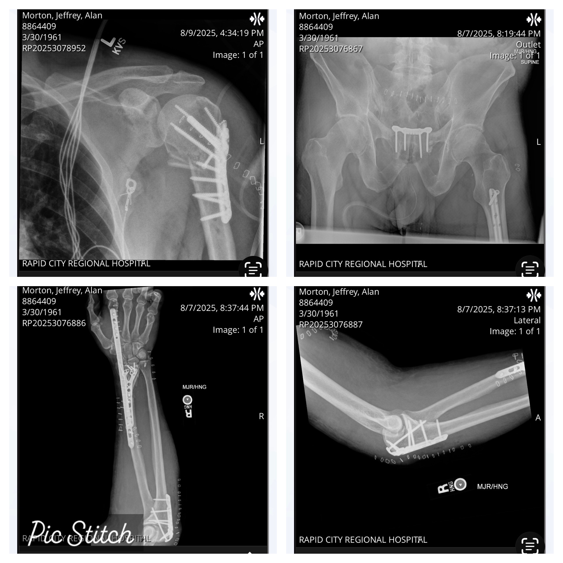
• Compound fractures of radius and ulna on right wrist requiring 13 cadaver bones, a plate, and screws in right arm. Three surgeries on wrist. The intensity blew apart his elbow which now has a plate and six screws.
• Force caused bicep to break the skin rupturing the brachial artery causing the loss of almost four units of blood.
• Fractured right scapula, torn rotator cuff, and supraspinatus in the right shoulder leaving right arm numb.
• Pelvis fractured requiring a plate.
• Ball of humerus bone completely broke in half requiring a plate, 12 screws, four of which came loose and needed to be removed.
• After two shoulder surgeries, he now has two complete rotator cuff tears and has developed avascular necrosis (death of bone tissue due to permanent blood loss) in left shoulder, requiring a total shoulder replacement ASAP.
• Last, but not least, two teeth were knocked out of his handsome smile. Those were the easiest and quickest to fix.
If Jeff’s guardian angel, a fellow biker, navy medic, had not arrived when he did and knew how to assess and address this tragedy, Jeff would not be with us today. Within less than one minute, he had a tourniquet on his arm that saved his life. EMS did not arrive for another 12 minutes.
Jeff is fighting like hell to endure these physical challenges and is meeting and exceeding every obstacle that has been presented. He participates and follows PT and OT instructions to the letter of the law. When the physicians at Mary Free Bed said at best he would not leave until Thanksgiving, he was out on October 20th. Unfortunately, despite these broken bones, Jeff suffered a concussion as well. He now suffers with equilibrium steadiness, hot and cold sensory complications, memory loss, attention and focus, cognitive deficits such as impairments in mental processing, executive functioning that affects thinking, attention, planning, and judgment. All of which greatly impacts his daily life. Sadly, he is also trying to come to terms with personality changes, including low frustration tolerance, and post-traumatic stress disorder.
People know Jeff as a loving father, a loyal friend, spouse, car enthusiast, and a vibrant member of the motorcycle community. His passion for life, kindness toward others, and unwavering spirit has always been an inspiration to those around him. He would give you the shirt off his back along with another. I have watched him help people in distress. He would never ask for a thing and he does not know I am doing this for him. He never wants to be seen as a victim of life’s circumstances. He is and has always been a survivor meeting life’s challenges head-on. This speaks to his positive mindset and determination. Even now, when not in PT, OT, or mental health therapy, Jeff spends his hours at home on the phone encouraging and mentoring others in their day-to-day lives to live each day as if it were their last. Jeff is grateful he was spared and knows his purpose on this earth is far from over. God still has a plan for his life.
The aftermath of the accident has left Jeff with extensive medical bills, rehabilitation costs, and the loss of income due to losing his business because he is unable to work. The sad irony is Jeff has spent the last 15 years owning and operating a non-invasive pain clinic using High Intensity High Dose laser therapy to help others to live their best life possible. Due to severe injuries of his dominant hand and months-to-years of recovery ahead of him, Jeff had to close his business and lost all ability to earn an income. The financial burden has become overwhelming, not to mention everyday living expenses.
Despite the physical pain and emotional toll, Jeff remains determined to recover and regain his independence. His courage, resilience, and hope are truly remarkable, but he cannot walk this path alone. While we live to ride and ride to live, we all learn to ride in the rain rather than just wait for storms to pass. I am launching this GoFundMe to rally around Jeff and offer the financial relief he urgently needs so he can continue to ride in the rain of this life’s storm.
Your donation will help cover medical expenses not covered by insurance, pain management, physical, occupational, and mental health therapy, daily living expenses during recovery, specialized equipment, home modifications to aid in mobility, and transportation to and from medical appointments.
As a rider, we all have experienced those near misses and thank God we lived to ride again. Jeff thoroughly enjoyed riding and releasing every care in the world—the freedom riding can bring. While four wheels move the body, two wheels move the soul. So, let’s grab life by the handlebars and show Jeff how we, as fellow big-hearted human beings, and as brothers and sisters of the motorcycle community, can pull together. Every single gift will make a difference. No contribution is too small. Every dollar raised will go directly toward supporting Jeff's recovery and helping him rebuild his life. If you are unable to donate at this time, please keep Jeff in your thoughts and prayers and share this campaign with your friends, family, and social networks so that this message of love and support can reach even farther. From the bottom of my heart, thank you for your kindness, generosity, and love. With your support, we can give Jeff hope and the resources he needs to heal and thrive once again. If we all pull together, I truly believe we can make a significant difference in his life and give him the encouragement to keep on keeping on. Let’s lean into the curve for Jeff.
With deepest gratitude,
Katherine & Jeff’s Support Team




