- C
- L
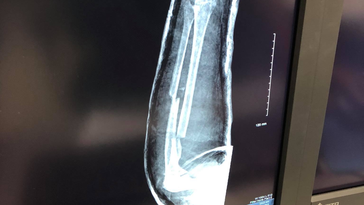
What do we all know about Ms. Jee? She is a teacher, a tutor, and an active member of our small community. She's even dating our island celebrity, Mr. Pandya. She always has a smile on her face and knows our children by name. Her world was turned upside down this week as she was injured during a community event. Her arm is fractured in 2 places and the extent of her leg injury will be unknown until she’s been transported to a medical facility that is capable of doing an MRI. The stress of her injuries as well as the finical burden that often follows those injuries can often impare the healing process. Let's rally behind Ms. Jee and show her the love and support of our small community.
Organizer and beneficiary
Jee Taylor
Beneficiary

