Help Caitlin Get Back on Her Feet

52 donors
0% complete

$11,000 raised of 

Help Caitlin Get Back on Her Feet

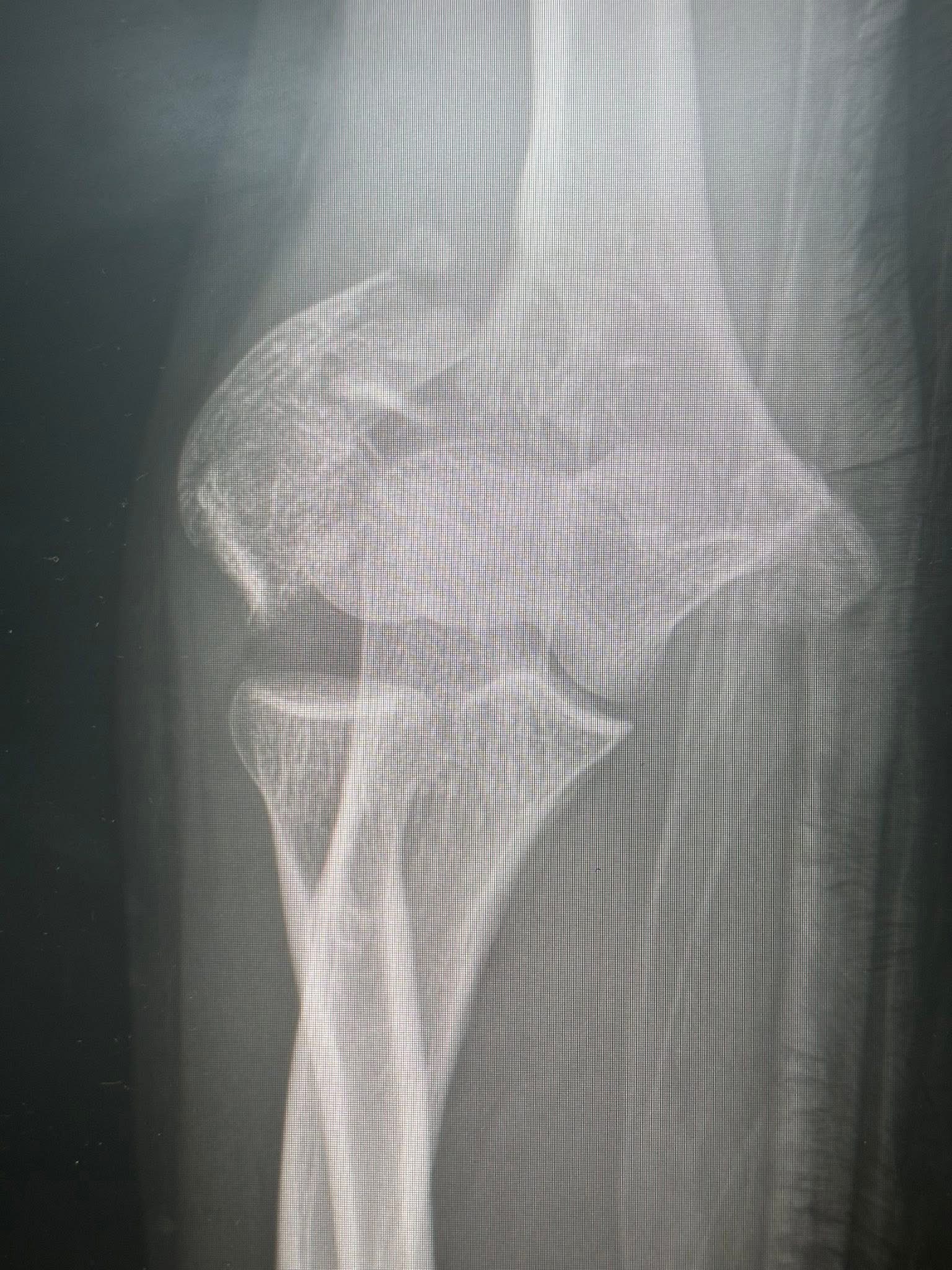
Caitlin's journey in Muay Thai took an unexpected turn when a horrific injury left her needing elbow reconstruction and rehabilitation for a fractured knee. Far from home in Australia and her loving family, Caitlin faces a challenging road to recovery in Bangkok.

She is needing elbow reconstruction surgery which is crucial for restoring mobility and function. Not only that but with a knee fracture, treatment requires careful management to ensure proper healing. Medical expenses, rehabilitation, and recovery costs are piling up. Caitlin needs support to focus on her recovery without financial stress.

Your donation will go towards:
- Assisting Caitlin’s medical treatment and surgery costs which need to be done before she can come back to Australia.
- Getting her back to Australia.
- Rehabilitation and physical therapy expenses.
- Recovery-related expenses, including medication and follow-up care.

Every contribution brings Caitlin closer to a full recovery and a return to the Muay Thai gym she loves. Your support will make a significant difference in her journey.

Let's help Caitlin get back on her feet and back to the sport she loves. Donate today and be part of her recovery journey!

Organizer

Ebony Chamberlain
Organizer
White Patch, QLD

Your easy, powerful, and trusted home for help

  • Easy

    Donate quickly and easily

  • Powerful

    Send help right to the people and causes you care about

  • Trusted

    Your donation is protected by the GoFundMe Giving Guarantee