Please support my journey to a healthy smile

1 donor
0% complete

£5 raised of 

Please support my journey to a healthy smile

Donation protected
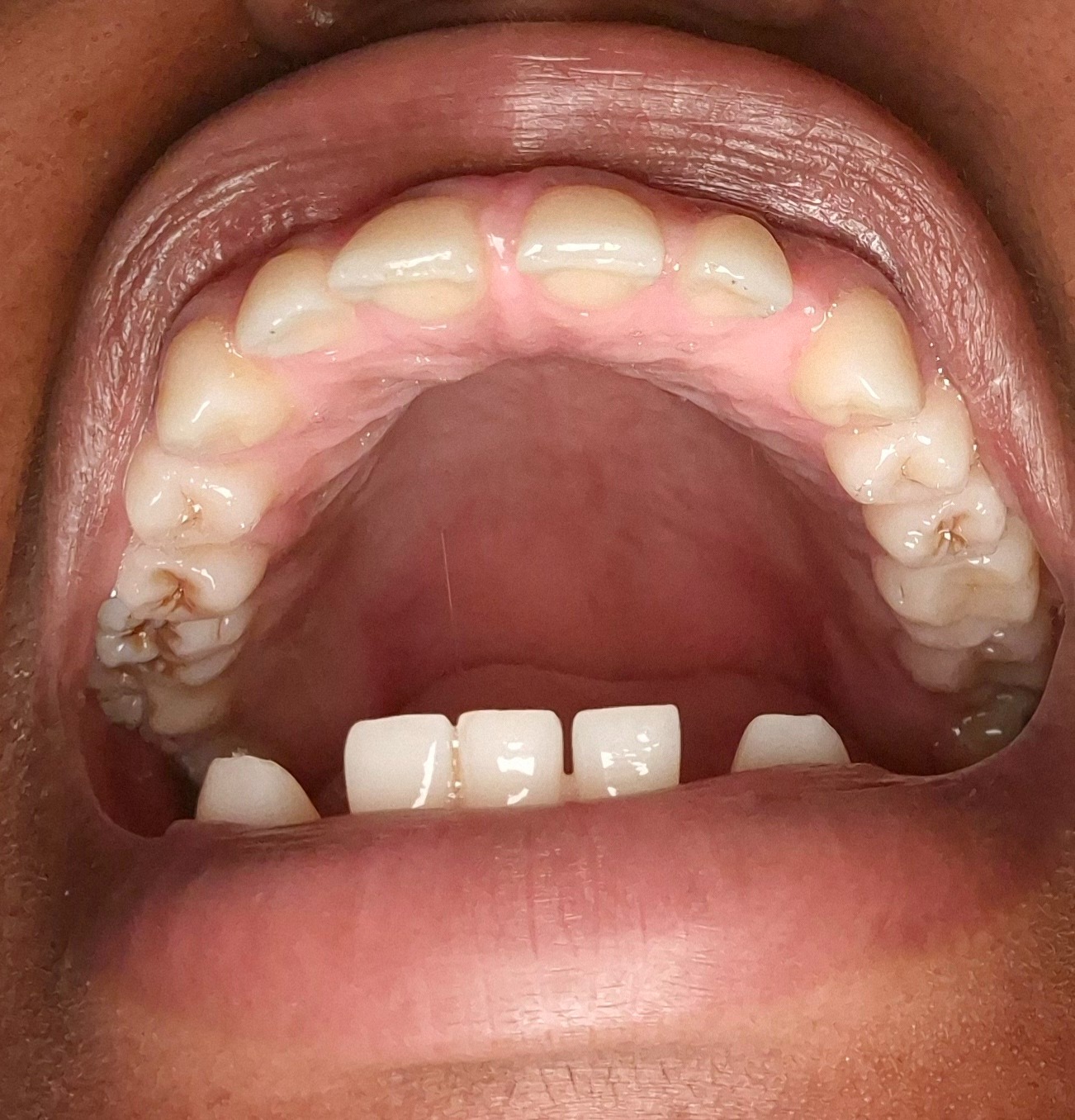
I am seeking support to receive full dental treatment for a congenital condition that has affected my teeth, confidence, and wellbeing for years.

I was born missing a lower incisor and have significant spacing between my teeth. Additionally, I retained two lower baby teeth well into my twenties, which caused repeated pain and they were eventually extracted. This has led to further movement of my remaining teeth, creating gaps and ongoing dental issues.
Over time, these dental challenges have had a profound impact on my confidence, social life and mental health. Simple things like smiling, speaking in public and attending social or professional events have become increasingly difficult.
I have explored both NHS and private treatment options. While NHS options are limited for complex restorative work, private dental implants would provide a long-term solution but the cost is beyond my current means.
I am reaching out to compassionate donors for support so that I can access the specialist dental treatment I need. Every contribution, no matter the size, brings me closer to restoring my smile, my confidence, and my wellbeing.

What Your Donation Will Cover:
Dental assessment and consultation
Full dental implants and restorative work
Follow-up appointments and aftercare

Thank you for taking the time to read my story. Your support would mean the world to me and I promise to provide updates on my journey as I work towards my dental treatment and improved wellbeing.

Donations1

Become an early supporter

Your donation matters

GoFundMe protects your donation

We guarantee you a full refund for up to a year in the rare event that fraud occurs. See our GoFundMe Giving Guarantee.

Organiser

Tee M
Organiser
England
  • Medical
  • Donation protected

Your easy, powerful and trusted home for help

  • Easy

    Donate quickly and easily

  • Powerful

    Send help directly to the people and causes you care about

  • Trusted

    Your donation is protected by the GoFundMe Giving Guarantee