- J
- L
- M
Hi everyone,
My name is Clarisse, and I’m reaching out for help for someone who means the absolute world to me - my cat Millie.
I adopted Millie almost seven years ago, when she was already 10 years old. Since then, she’s been by my side through everything. She’s my best friend, my family, and truly, my heart.
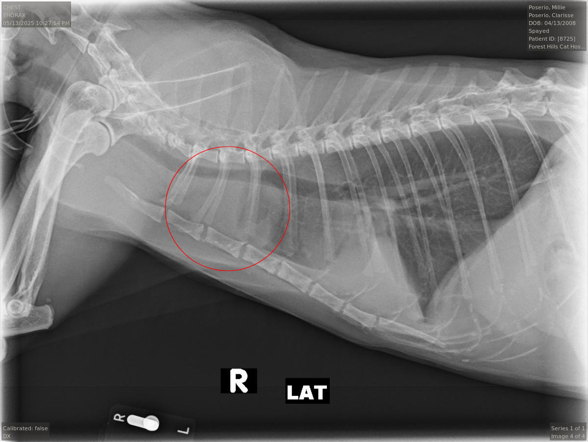
Millie has always been a fighter. She beat hyperthyroidism, has been managing chronic kidney disease, and lives with a heart murmur, but none of that has ever dimmed her spirit. Recently, at what should have been a regular checkup, X-rays revealed a mass in her chest and fluid around her lungs. We were referred immediately to the Animal Medical Center for further testing, and she was hospitalized there for close monitoring.
The mass has been confirmed to be a rare neuroendocrine tumor, but further testing is still needed. Our next step is for her to get a CT scan in order for the oncology team to figure out a treatment plan.
Right now, I’m doing everything I can to get Millie the diagnostics, treatment, and supportive care she needs. The medical bills are quickly adding up, from emergency visits and imaging, specialist consults, hospitalization, and ongoing treatments. I've already hit our insurance coverage limit, and it’s becoming more than I can handle alone.
If you’ve ever loved an animal the way I love Millie, you understand how hard this is. If you’re able to donate or share this page, it would mean more to me than I can express. Every little bit helps—whether it’s $5 or a simple repost. I just want to give Millie the best care possible and make sure she’s comfortable, safe, and surrounded by love for however much time we have left together.
Thank you for reading, supporting, and loving her with me.
With love,
Clarisse & Millie




