Hi all! Thank you so much for taking a look at my Gofundme!
For those of you who don't know, I am a professional freelance dancer in Southern California, and I absolutely love what I do! I am also a dance instructor, musician, assistant manager at a grocery store, and part-time DoorDasher.
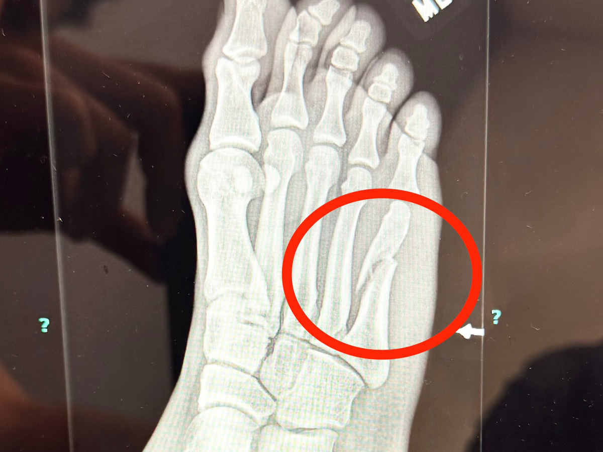
In mid October, during an audition for Romeo and Juliet, I landing awkwardly in petite allegro (doing a pas de bourée, of all steps...) and completely snapped my fifth metatarsal! My orthopedic surgeon is recommending I get surgery, as it will be the most effective treatment with the quickest recovery. If all goes well, I am hoping to be back to dancing by late January!
This is where I would like to ask for your help. The estimate I was given for surgery was about $10,000. As someone who currently does not have health insurance and is now unable to work, this is proving to be quite the daunting feat! If you are able, any and all donations would be so deeply appreciated! I have also included links to my Zelle, Venmo, and PayPal in my Instagram bio, in case that is more convenient. Even if you are unable to donate, please feel free to head over and say hi, I'd love to chat! Come say hi! Instagram
Once again, thank you so much for your support, even if it is just thoughts and prayers. I will be back dancing soon enough, and I am excited to use this time to become a more complete artist and person. Cheers to next steps!
Organizer
Isaiah Sedano
Organizer
Seal Beach, CA



