FRACTURA DE OMOPLATO
FRACTURA CLAVICULA
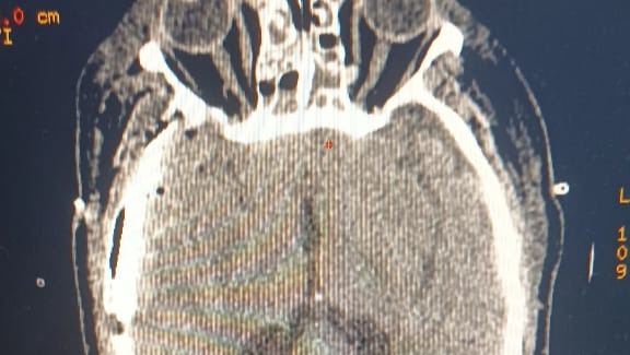
FRACTURA CRANEAL
Mi nombre es Giuseppe Stella y la Familia Stella necesita tu ayuda!
El 25 de diciembre Nicola Stella, hombre de 70 años, mi padre, cayó del Techo de su casa en municipio Baralt, estado Zulia, Venezuela.
En estos momentos se encuentra en la Clínica Colón de Ciudad Ojeda, estado Zulia, Venezuela, internado en la Unidad de Cuidados Intensivos (UCI), presenta múltiples fracturas como Craneal, torácica, y Clavícula, y con líquido en los pulmones.
Como es sabido la situacion a nivel de salud, asi como en otras area, en Venezuela no es muy buena, por que requierio ser internado en una clinica privada.
Se han realizado varias tomografias, las cuales junto con la unidad de cuidados intensivos, asi como la cirugia craneal que le fue realizada, han sido uno de los mayores costos dentro del presupuesto generado por la clinica.
Por lo que pedimos tu ayuda para costear los altos gastos que se han generados desde el dia que fue recibido.
Los gastos pueden ascender hasta usd $40.000 segun presupuesto generado por la clinica
Organizer
Giuseppe Stella Torge
Organizer
Bilbao, PV

