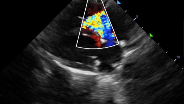
Hola, mi cachorro Pakito sufre de una mal formación en el corazón, tiene displasia en la válvula tricúspide. Explicándolo mal resumido sus válvulas no funcionan adecuadamente y no expulsa la sangre del corazón como debería por lo que el corazón agranda y agranda hasta que colapsa.
Esta enfermedad actualmente no se opera en España ... pero si en Londres y en Milán y muchos veterinarios ni lo saben (por lo cual espero que esta información también puede ayudar a alguien) el hospital de Londres se llama Royal Veterinary College y el de Milán Anicura Malpensa (más abajo dejo los enlaces de la web).
La operación es muy cara y por ello estoy aquí. Necesitamos ayuda y darle una oportunidad a Pakito. Es un perro enérgico con ganas de vivir que está respondiendo a los tratamientos que lo estabilizan.
Es un perro muy cariñoso con mucha vida por delante.
Me gustaría que esto llegue a ser más que una operación, hay muchos perros que mueren por desconocimiento a que estas operaciones en realidad si se puedan realizar.
Si desgraciadamente Pakito no aguantara la espera y no llegara a operarse, devolveríamos todo el dinero. Solo queremos darle esta oportunidad.
¡¡Aguanta Pakito que ya casi lo conseguimos!!
Si quieres más info o ver cómo va evolucionando Pakito este es mi instagram @fanysap lo estoy subiendo todo ahí.
Este es el enlace de los hospitales para el que lo necesite:
LONDRES
https://www.rvc.ac.uk/small-animal-vet/teaching-and-research/case-studies/open-heart-surgery-to-treat-a-stenotic-tricuspid-valve
ITALIA
PD: si al final te hiciera falta hablar con el hospital de Londres porque estés viviendo algo similar, debes antes hablar con tu veterinario y ya luego ellos se comunican con tu veterinario (si no te echan el email para atrás y lo que pierdes es tiempo). En el hospital de Milan puedes hablar con ellos directamente y son rápidos contestando.
¡¡Muchas gracias por todo!!!

