- C
- C
Hi,
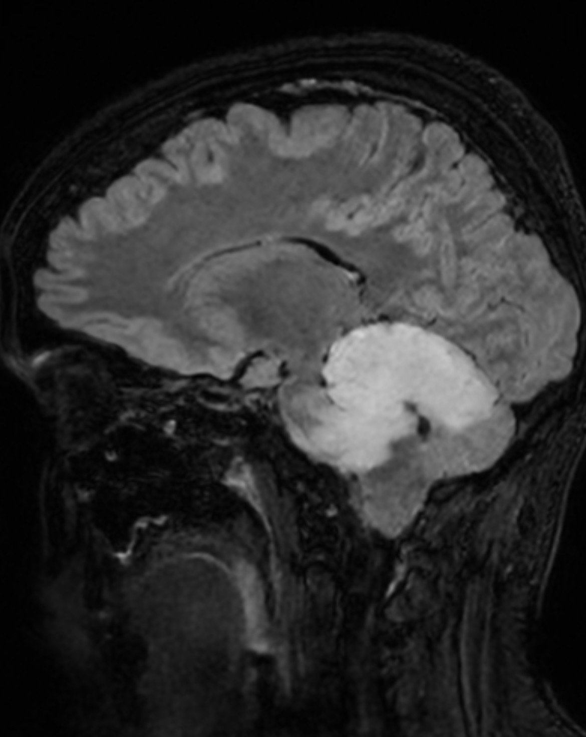
I’ve been avoiding make this it because I struggle with asking for help, but as a few of you know I was diagnosed with a type of brain cancer called IDH-mutant Astrocytoma at the beginning of this year.
I have been in treatment since April, and did 33 rounds of radiation, and 6 months of chemotherapy which I will finish in December. I will not be cancer free with treatment but it will hopefully slow down my tumor growth and I am unable to have it removed due to it being located against my brain stem.
I have been unable to work due to being quite sick from chemo, the chronic pain associated with it and having multiple appointments a week, making things very tough financially.
I do get some money from the government each month but this has still left me struggling to cover the costs that come with living with a cancer diagnosis.
I do have insurance which covers most things but there are still out of pocket costs. Any donation helps so much and will directly go towards:
-Doctors appointments, mental health support, treatments, medications that are not fully covered
- Daily livinglike rent, groceries, bills, and pet care
- Basic stability so I can focus on my health instead of constant financial stress
Any and all donations are so appreciated and make a huge impact. If you aren’t able to donate, sharing this on social media or anywhere is so helpful, and would mean so much.
Thank you so much taking the time to read this, and thank you so much for your support and kindness.
Much love,
Cleo





