- L
I'm Jamie, I have Grade 4 Brain tumour/Cancer.
Help Jamie Fight Stage 4 Brain Cancer with Life-Saving Treatment
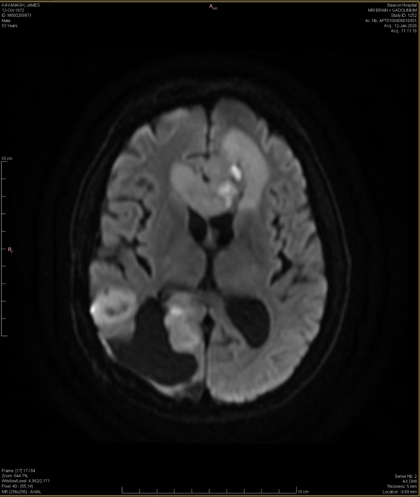
Our dear friend Jamie is facing the fight of his life. He has been diagnosed with stage 4 glioblastoma — an aggressive and life-threatening brain cancer. Despite the devastating diagnosis, Jamie has shown incredible courage and determination. He has already undergone two major brain surgeries to remove tumors, but the battle is far from over.
Jamie is now exploring advanced supportive therapies to give himself the best possible chance of survival. One of the most promising options is hyperbaric oxygen therapy (HBOT) — a treatment that can help reduce inflammation, support healing, and potentially slow the progression of his cancer. This therapy is not covered by public health care, and Jamie needs to purchase his own hyperbaric chamber so he can access daily treatment at home.
The cost of the chamber and necessary equipment is €40,000, and that’s where your support can make a life-changing difference.
Anyone who knows Jamie will tell you he is the kind of person who lifts others up — even now, in the middle of his own struggle, he remains positive, generous, and full of heart. Now it’s our turn to be there for him.
Please consider donating whatever you can to help Jamie access this crucial treatment. Every euro brings him one step closer to hope, healing, and more time with the people who love him. If you’re not in a position to donate, sharing this campaign would mean the world.
Thank you for standing with Jamie.
GLIOBLASTOMA MULTIFORME
I Need a hyperbaric oxygen chamber to help stop it coming back. Thanks for your help. €45 from 1k ppl will get one.
Undergoing daily treatment will
Dramatically increase my
Chances of survival.
Once I have the chamber operating I will make it available for us by anyone in the local community for operating costs only to give something back. So you might be helping many other people also thanks
Organizer
Jamie Kavanagh
Organizer





