
Medically necessary braces and jaw surgery please
5/2/23 Update. Today is the day my daughter starts her treatment at the Orthodontist thanks to your generosity. She is nervous and scared but knows it has to happen for a better quality of life. I will post more updates as they happen. Thank you again for your support. Jenny
Hi, my name is Jenny,
I am the Mom of a beautiful daughter that was born with Turner Syndrome & is on the Autism spectrum.
My daughter has always been exhausted requiring 10-12 hours of sleep a night since she was little.
We recently found out what is causing this.
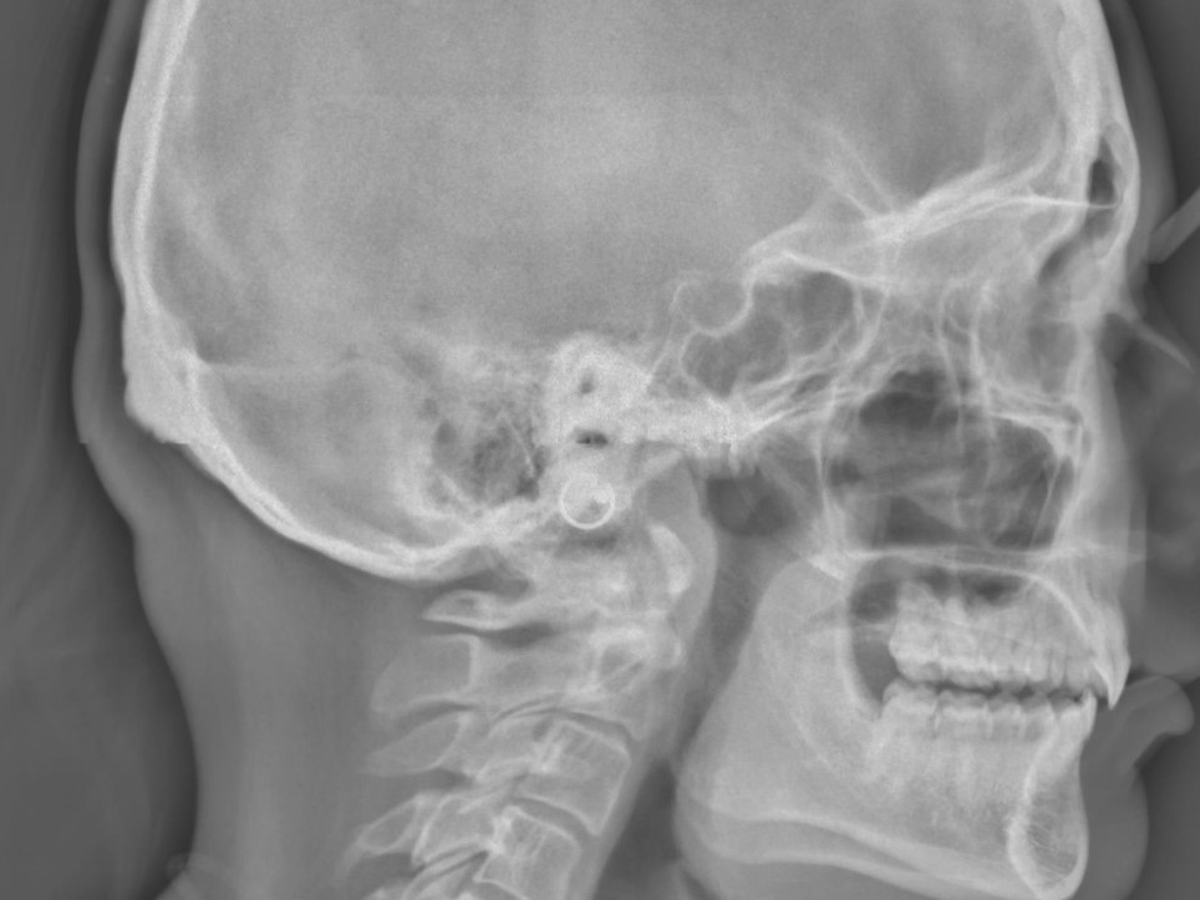
Due to her Turner Syndrome her jaw is recessed very badly. You can see it in the xray I have attached. This jaw recession in effect, restricts her airway at night which is causing her exhaustion.
How so many doctors and dentists missed this growing up I will never know. We find out new medical things her Turner Syndrome and Autism affect every once in a while and as I have no medical knowledge I have to wait to be advised of such things.
My daughter has just turned 23. Our dental insurance only covered ortho till she was 19. I managed to get this overturned in an appeal ( up to $1500 lifetime max), but our current financial situation will not support the balance of the costs involved.
The orthodontist fees are $6,250
The jaw surgeon's copayment if Medicaid will pay the rest is $3,500.
Total $9,750.00
Given that we are already in the month of May when her first appt is, that allows for $1,150 for the dental insurance to pay per how they payout claims leaving a balance of $8,600.
We know that times are hard for everyone right now and appreciate anything you can give, or, if you can share this fundraiser page it would be very appreciated.
Please know that I would not ask for myself ever, if I had any other options.
Thank you so much for your support and love always.
Jenny
Organizer
Jenny Sadlier
Organizer
Riverton, UT