- T
- L
- D
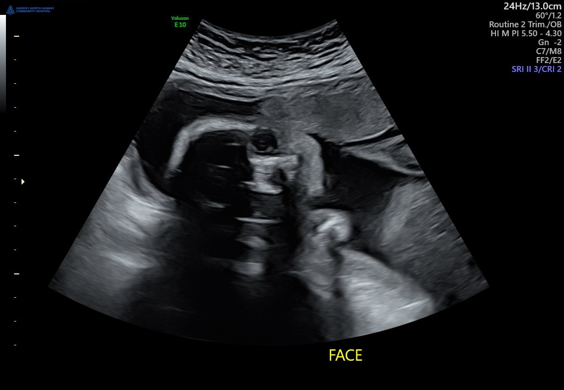
On October 29th, 2025 I walked into a routine 20th week ultrasound but with my excitement put to the side I was taken aback by the way things started taking a turn for the worse throughout the checkup, as I was laying there looking at my beautiful girls growth and admiring her little face when I would get glimpses of her they began the scan of her heart but to my surprise and concern the scan on her heart was taking longer then I remember as I just had a baby 8months ago and have had 3 before I didn’t recall it ever taking this long, my heart began sinking in my chest feeling so powerless and not having my questions answered with certainty was even worse, one ultrasound tech after the other walked in without clear understanding I was sent home with a heavy heart and a lot unanswered what ifs, an appointment was scheduled 2 weeks out to get an echocardiogram for further evaluation, the days couldn’t have gone by any quicker but November 3rd,2025 I walked in to that appointment with hope and faith that things weren’t as they seemed, the tech lays me down explained what she may be looking for and we proceed with the ultrasound she looks at the heart takes a few pictures stops and says there is definitely something wrong with the baby’s heart i am so sorry, let me finish up and I can get into more detail about what’s wrong, instant tears running down my face but keeping it together so she can get what she needs to finish the imaging, she concludes the ultrasound and begins to go more into depth about what she saw feeling weak by the news I get as much information as I can and walk out with a promised call from a pediatric cardiologist on Oahu, patiently waiting I receive the phone call and long story I was told my baby has
HLHS- Hypoplastic Left Heart Syndrom is a complex congenital heart defect where the left side of the heart, including the left ventricle, aorta, and aortic and mitral valves, is underdeveloped. This prevents the left side from properly pumping enough oxygen-rich blood to the body, which is often managed with a series of surgeries, starting shortly after birth. Without intervention, the condition is not survivable.
receiving such crippling news was devastating to me, i got myself together and began my research made appointments necessary so I that we could proceed with this process. I made an appointment for November 21st, 2025 so that I could head up to Oahu to meet the pediatric cardiologist and undergo another echocardiogram to see the progress of baby’s Heart growth, I went up had the echo done and proceeded to go upstairs with the doctor she sits me down and begins to explain the delicate nature of my daughter‘s congenital heart, defect, and what that meant for the remainder of the pregnancy long story short, she explains that I would need to fly off island in order for my daughter to survive after labor and delivery that she would need to undergo three major Hart surgeries with the first and second phase being the most critical and delicate because of infection and downtime to recover the first surgery could take up to nine hours and that between the first and second phase, the hospital would not be able to house us, but it was necessary to stay close for any complications that may occur away from the hospital. Receiving this information really took me back financially emotionally, and physically I wasn’t sure if I was ready, but with my daughter‘s best chances to survive in mind only, I began to make a decision on the hospital. I would be heading out to at around 32 weeks so I could be closely monitored and prepped for labor and delivery where from there I would get very little time with my newborn before she’s taken into the OR
I understand it’s so close to the holidays and I was very skeptical on making a GoFundMe but I’ve had a lot of encouragement from family and friends and I am very humbly asking for any support that could be spared, for any upcoming lodging, medical, essential needs in the mainland that may come up as I will be up there a projected 6 months starting at the beginning of January anything helps and if you could please keep us in your prayers that would also mean so much to my family and I.





