This beautiful human being is Lisa Pieper. If you don't know Lisa, your life is missing out. Her love of life and those around her is contagious. She is kind, caring, funny, and every single other adjective that is in a person that you want to be around. She is a nurse in a NICU at Lutheran General. She takes care of the most innocent of lives every day, and those babies do not even know how lucky they are to be in her care.
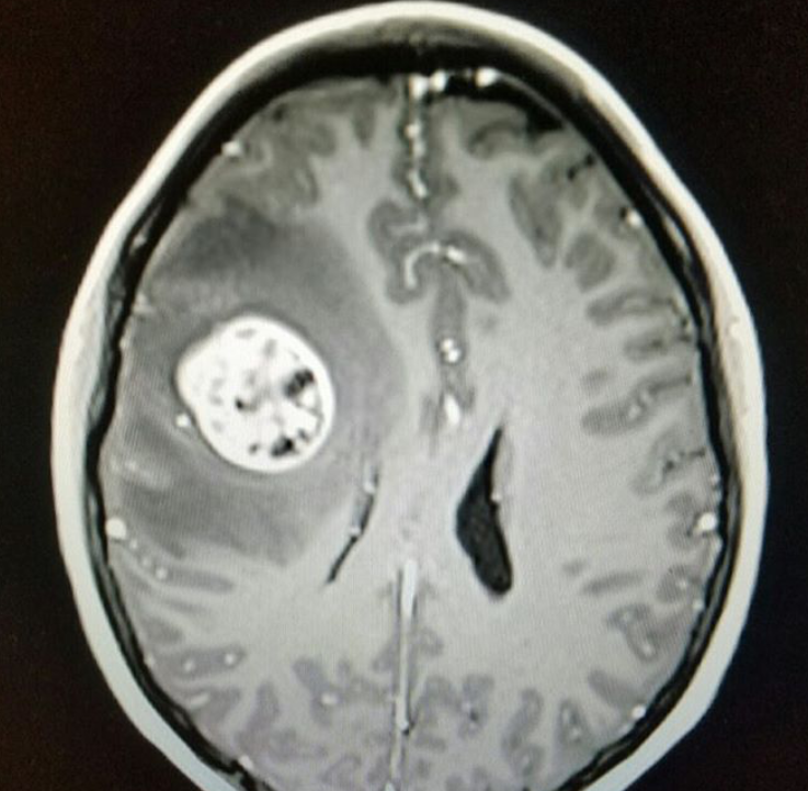
Four days before Christmas this year Lisa was given life shattering news. After weeks of having horrible headaches, a CAT scan revealed a mass on her brain.

She would need to be admitted into the hospital immediately to have the mass removed. On Friday, December 23rd, Lisa underwent brain surgery on her right, front, temporal lobe. They found out that the mass was in fact a nightmare. It was a grade 4 Glioblastoma. The worst possible kind of brain cancer someone can get. A death sentence...at 29 years old. To some, this would be crippling, life altering, awful depression worthy news. Not to Lisa. Not to Lisa's doctors. Not to Lisa's boyfriend, family, friends, co-workers. She will not accept anything less than a cure and neither will we. From minutes after her surgery....Cancer knew it had met its match. Lisa is a fighter, a hero to us all, and a BA warrior...


The road ahead of Lisa is not going to be easy. She has already met with fertility doctors, had her white blood cells spun for a clinical trial in a procedure that is not for the faint of heart, and starts chemo and radiation in the next week. However, if you talk to Lisa...she's still the amazing human being that everyone has fallen in love with.

Please consider helping Lisa out with the numerous medical bills that are going to be headed her way. Some have already started to come and the numbers are astronomical. If you could spare anything...EVERY DOLLAR makes a difference.
As many of you know Lisa has lovingly named that horrible clementine that was in her brain, Steve...
Let's support this girl who has told Steve to SUCK IT!
Please check out her facebook page titled suck it steve as well! #suckitsteve

Thank you!!!!!
Love,
Chrissy Bauer...and Lisa :)

Four days before Christmas this year Lisa was given life shattering news. After weeks of having horrible headaches, a CAT scan revealed a mass on her brain.
She would need to be admitted into the hospital immediately to have the mass removed. On Friday, December 23rd, Lisa underwent brain surgery on her right, front, temporal lobe. They found out that the mass was in fact a nightmare. It was a grade 4 Glioblastoma. The worst possible kind of brain cancer someone can get. A death sentence...at 29 years old. To some, this would be crippling, life altering, awful depression worthy news. Not to Lisa. Not to Lisa's doctors. Not to Lisa's boyfriend, family, friends, co-workers. She will not accept anything less than a cure and neither will we. From minutes after her surgery....Cancer knew it had met its match. Lisa is a fighter, a hero to us all, and a BA warrior...

The road ahead of Lisa is not going to be easy. She has already met with fertility doctors, had her white blood cells spun for a clinical trial in a procedure that is not for the faint of heart, and starts chemo and radiation in the next week. However, if you talk to Lisa...she's still the amazing human being that everyone has fallen in love with.
Please consider helping Lisa out with the numerous medical bills that are going to be headed her way. Some have already started to come and the numbers are astronomical. If you could spare anything...EVERY DOLLAR makes a difference.
As many of you know Lisa has lovingly named that horrible clementine that was in her brain, Steve...
Let's support this girl who has told Steve to SUCK IT!
Please check out her facebook page titled suck it steve as well! #suckitsteve
Thank you!!!!!
Love,
Chrissy Bauer...and Lisa :)
Organizer and beneficiary
Lisa Gaa
Beneficiary


