- I
- C
Mi nombre es Giovanni y hoy te escribo con el corazón en la mano.
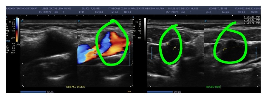
Mi esposa, Leslie Díaz de León Muñiz, fue diagnosticada con un pseudoaneurisma carotídeo, una condición extremadamente grave. Los médicos han sido claros: en cualquier momento puede romperse y provocarle la muerte.
Estamos viviendo con miedo constante.
La única oportunidad para salvar su vida es una cirugía urgente. El problema es que el costo total —incluyendo la operación, al menos 5 días en terapia intensiva y su recuperación.
La cantidad necesaria para esto, como familia, no podemos cubrirla en el tiempo que tenemos.
Leslie es una mujer increíble. Es amorosa, fuerte, y siempre ha estado para los demás. Hoy nos toca a nosotros luchar por ella… pero necesitamos ayuda.
Te pido de corazón:
Si puedes donar, cualquier cantidad suma
Si no puedes donar, por favor comparte esta campaña
De verdad, cada minuto cuenta. Cada apoyo puede marcar la diferencia entre la vida y la muerte.
Gracias por tomarte el tiempo de leer esto. Gracias por ayudarnos a luchar por la vida de Leslie.




