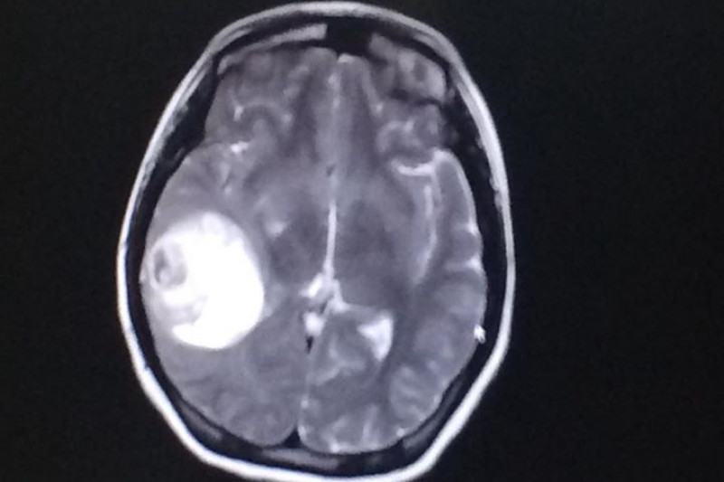
I have suffered from chronic migraines for years. This past Wednesday, I had a seizure at work where it was discovered that I had been living with a 5cm brain tumor. I had a craniotomy Friday, December 29th and was discharged from the hospital Sunday, December 31st (New Year's Eve!) Even though this was not how I had imagined ringing in The New Year, I feel like the luckiest person in the world. I'm thankful to have had my seizure in a safe environment with friends and coworkers around me, rather than on my walk home alone from the train that night. The nuerosurgeon said I should be in recovery for 6 weeks and I am determined to remain hopeful and positive while I recover. Within that time, I am hoping to raise $10,000 in order to help with my medical bills and cost of living expenses. Any donation is greatly appreciated; thank you!






