- A
- J
Hi everyone, my name is Jasmine, and this is my little boy, Chewy. We are looking to fund the remainder of his heart tumor treatment.
Chewy for the past six years he has been my best friend, my happiness, and self appointed body guard (against mailmen and the neighborhood cats). He’s the little heartbeat that follows me everywhere but now that little heart beat needs my help and yours to keep going.
A few weeks ago, I noticed Chewy breathing heavier than usual and getting nauseated easily. I brought him to the vet, hoping I would be told I was just an over dramatic dog mom. After multiple tests and a referral to a specialist for a CT scan, we finally got our answer and it was soul crushing.
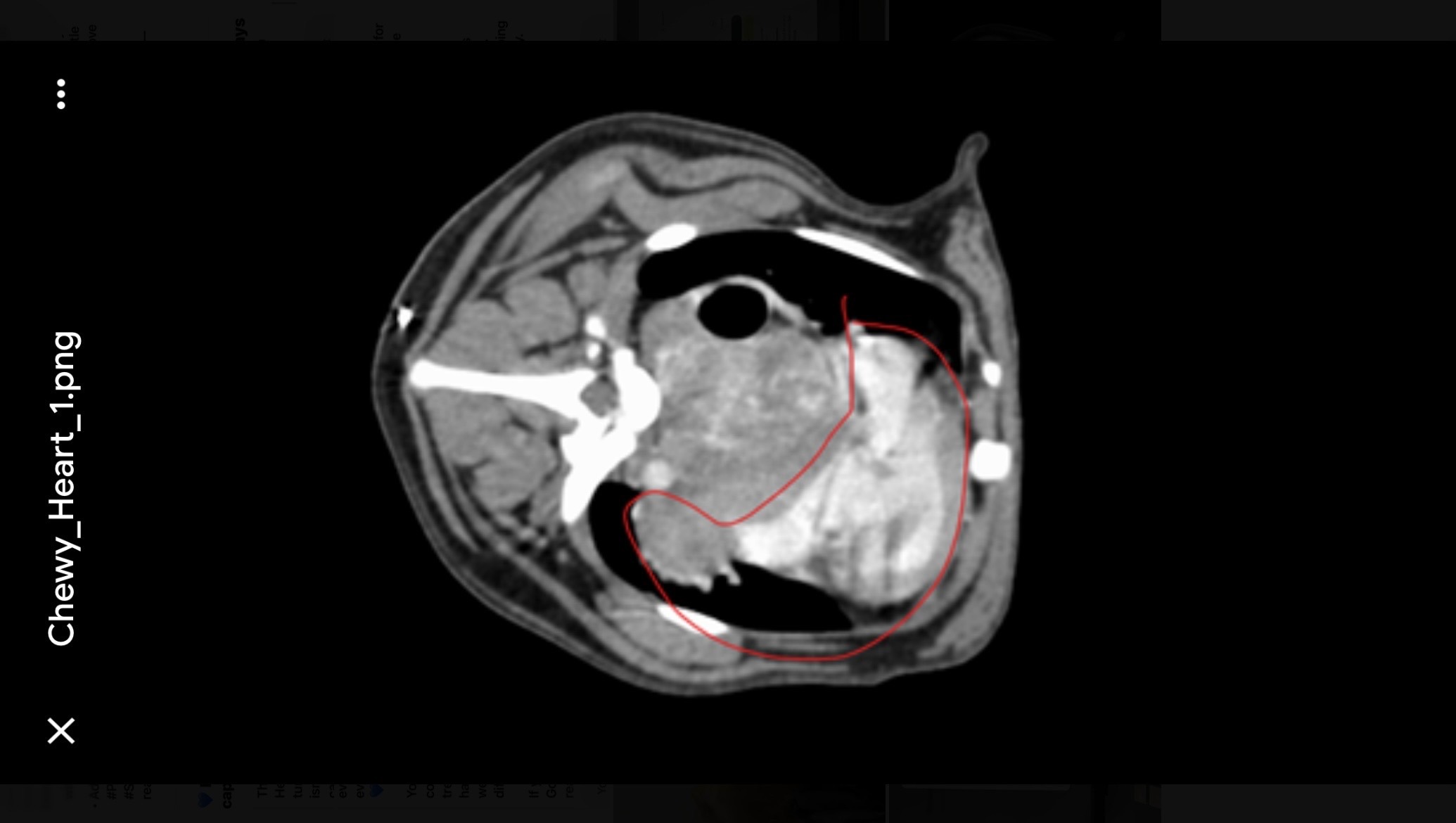
The specialist found a heart murmur and a large tumor pressing on his heart, called a chemodectoma. The mass is wrapped tightly around Chewy’s main blood vessels, including the aorta and pulmonary arteries. Because of its location, it’s too dangerous to biopsy, and surgery isn’t an option, it would be life-threatening.
The tumor is potentially malignant, but even if it’s benign, it’s still life-threatening because it compresses his heart and restricts blood flow.
The only treatment that can help Chewy is radiation therapy, which can shrink or slow the tumor’s growth, relieve the strain on his heart, and give him more time to live comfortably and chase countless more squirrels up a tree.
Just getting to this point — X-rays, bloodwork, the CT scan, and consultations — has already cost over $2,500. The estimate for radiation therapy alone is between $9,000 and $14,000, depending on what his oncologist determines.
Chewy does have medical insurance, but while I’m incredibly grateful that Chewy has it, it doesn’t mean everything is covered - and it doesn’t mean help comes quickly.
It only reimburses 80% of covered costs after a $500 deductible, and it caps coverage at $10,000 per year.
Many of the tests, medications, and follow-up visits fall into “non-covered” categories or are only partially reimbursed. On top of that, the insurance company requires me to pay for everything upfront and then wait to be approved then reimbursed, which can take weeks or even months to process. That means even with insurance, I’m still responsible for thousands out-of-pocket right away just to keep his treatments moving forward and give him the best chances.
I’ve also had to take time off work for his specialist visits and upcoming treatments, which has made things even harder financially.
In all Chewy will need funds for diagnostic testing, cardiologist visits, radiation therapy, medications, at home medical and comfort items, transportation and follow up care. This will roughly translate to $20,000, meaning we are hoping to raise the remaining $10,000 to fund his treatment.
On top of all this, Chewy has keratoconjunctivitis sicca (chronic dry eye from an injury caused by a groomer earlier this year) which has already flared up due to all the exams and sedation he's undergone this past week. And this will potentially worsen during radiation because of the dehydration it can cause. He’ll need special eye drops, ointments, and follow-up care to keep him comfortable and protect his vision.
Even now — while he’s the one who’s sick — Chewy is still the one comforting me. On the days I break down, fall apart, or feel overwhelmed he’s there with a steady stream of kisses. His little heart may be struggling but his love for me (and chicken) never will.
If you can help, even the smallest donation means the world to us. Every dollar goes directly toward Chewy’s radiation treatment, follow-up care, medications, and home adjustments to keep him comfortable. And if you can’t donate, please share his story — that helps just as much!
Thank you, from the bottom of my heart — and Chewy’s — for reading, caring, and helping us fight for more cuddles and kisses.
With love,
Jasmine & Chewy
-------------------------------------------
How Your Donations Will Help Chewy
Every dollar goes directly toward Chewy’s care and comfort as he fights his heart tumor:
- Radiation therapy & specialist care to shrink the tumor and relieve pressure on his heart.
- Heart medications, supplements, special food, and eye care to keep him strong and comfortable throughout treatment.
- At-home comfort items — orthopedic bed, ramps, and at home heart monitor— to make life easier and safer.
- Follow-up tests, and lab work to prevent heart-related complications and track his progress.
- Transportation and time off work for specialist appointments and daily radiation sessions. (His Oncologist is a long drive from us).






