- P
- J
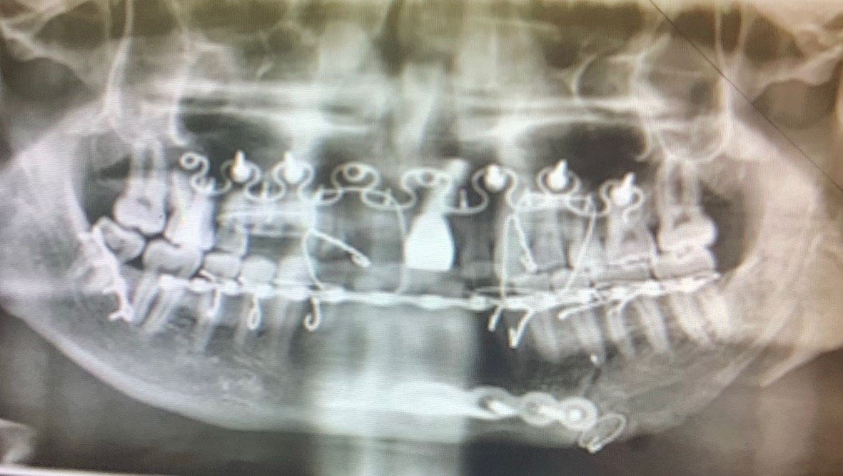
Early in the morning of June 12th, my sister received a call from Pennsylvania State Police that my little brother Jeffrey was found on the side of a dirt road near our cabin in Confluence, Pa. His throat had been slit open and there was severe damage to his face and massive blood loss. We were unsure if he was going to survive. Because of the severe trauma to his face, unfortunately he has no memory of what happened. He suffered a 4 inch laceration to the neck, 2 broken orbital bones, a broken nose, multiple jaw fractures, is missing 9 teeth, and dozens of other less severe injuries.
The state police have since closed the investigation and state that he “fell”. Because we have no answers and thanks to the police has been ruled a fall instead of attempted murder, dental insurance will not cover the cost of the teeth replacement.
As many of you know I come from a very proud family. We have struggled in silence scraping together to care for him while he’s been unable to work. Unfortunately we just cannot afford the $13,000 it would cost to get his teeth replaced. I am asking that you donate what you can or please share this. My little brother has helped so many people. If we could all come together and help him I would be forever grateful.
Organizer and beneficiary
Jeffrey Flora
Beneficiary

