- T
- E
- K
Liebe Unterstützerinnen und Unterstützer,
mit schwerem Herzen wende ich mich heute an Sie. Im Herzen Westafrikas, in Togo, haben meine Tochter Theresa und ich, Frank Würfel, uns als Teil des Vereins "Zahnärzte ohne Grenzen" engagiert, um Menschen in Not medizinische Hilfe zu bringen.
Eine Begegnung, die uns tief berührte:
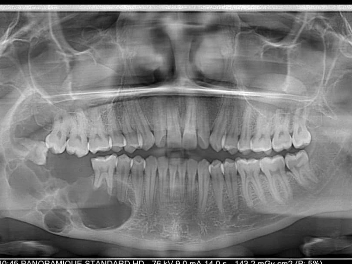
Eines Tages besuchte uns während unseres Einsatzes in Togo ein junger Mann, Kokou Amegavi. Bei der Untersuchung stellten wir einen großen Tumor im Unterkiefer fest. In der Röntgenaufnahme zeigte sich uns ein Bild, das uns erschreckte. Bitte schauen Sie sich das Röntgenbild an. Selbst für Sie, die sie vielleicht nicht vom Fach sind, ist die knöcherne Zerstörung deutlich zu sehen.
Dieser Tumor ist nicht nur eine körperliche Last, die Kokou täglich trägt, sondern auch eine stille Bedrohung und damit eine tickende Zeitbombe. Die Zeit drängt, denn ohne Behandlung droht der Verlust seines rechten Unterkiefers – und damit ein Stück seiner Menschlichkeit.
In Togo stießen wir an unsere Grenzen, denn die notwendige medizinische Versorgung kann dort nicht gewährleistet werden. Die Worte von Prof. Dr. Adam, der uns aus der Universitätsklinik in Lomé schrieb, bestätigten unsere Befürchtungen: Es fehlen die technischen Möglichkeiten für eine solche Operation.
Seitdem suchen wir nach einem Lichtblick für Kokou, einer Klinik, die ihm Hoffnung geben kann. Die Universitätsklinik in Dresden könnte dieser Ort sein, wenn wir es schaffen, Kokou die Einreise nach Deutschland zu ermöglichen.
Doch die Kosten für eine solche Behandlung sind enorm. Allein der Kostenvoranschlag beläuft sich auf etwa 30.000 Euro, hinzu kommen weitere Ausgaben für die Einreisegenehmigung, Flüge und Unterkunft. Insgesamt rechnen wir mit Kosten von rund 38.000 Euro.
Es ist ein hoher Betrag, aber was ist das gegen ein Menschenleben? Gegen die Chance, dass Kokou lachen, sprechen und ein lebenswertes Leben führen kann?
Deshalb bitte ich Sie von Herzen: Wenn Sie die Möglichkeit haben, unterstützen Sie uns bitte bei der Finanzierung dieser Behandlung. Jeder Beitrag kann ein Wunder bewirken und Kokou eine Zukunft schenken.
Vielen Dank
Frank und Theresa Würfel
Zahnärzte mit Praxis in Heidenau/Sachsen
Weitere Infos zu Kokou und seiner Erkrankung finden Sie auf unserer Webseite: Kokou und unsere Praxis

