
Foot Surgery
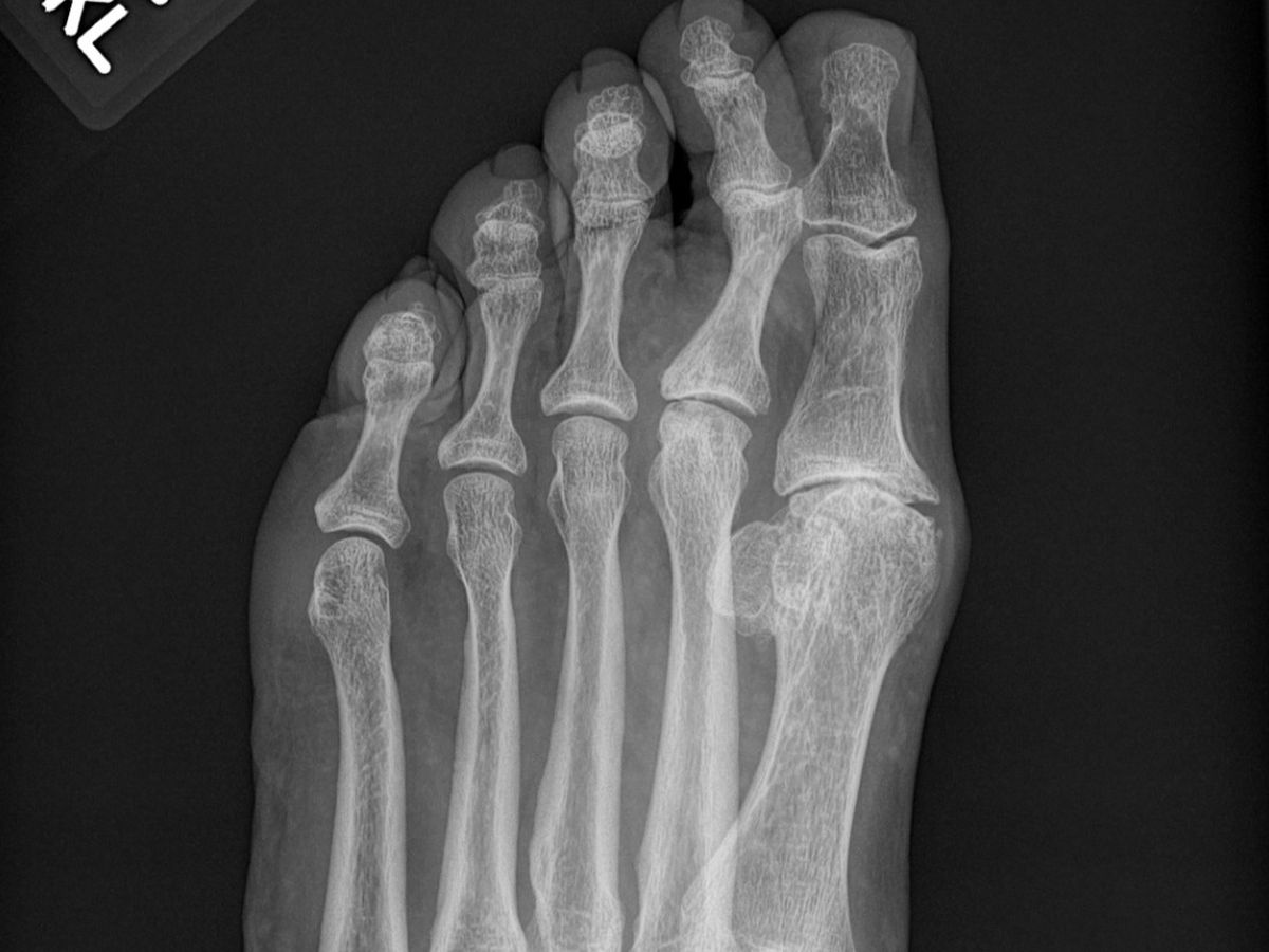
Some years ago I suffered an injury to the joint at the base of the big toe on my left foot. This occurred while I was undergoing alternative treatment for anxiety. The practitioner gave me a tension relieving massage treatment during which she pulled on each on my toes. When she pulled gently on my big toe I felt a small, sharp jolt of pain, and felt a corresponding internal "pop". From that moment on I had tenderness and a slight discomfort in that toe joint. I know she didn't mean to hurt me. And, at the time I could never have imagined that that little pain would become an excruciating nightmare down the road. I was uninsured at the time of the injury, but two years later, when I could go to a regular doctor again, I told him about the pain, but he brushed it off as nothing. As the years passed, the pain steadily grew until finally I saw a foot surgeon and he told me that the joint had degenerated and was arthritic. He recommended surgery to fuse the bone. That was five years ago, and I've been trying to scrape together the money to cover my deductible and co-pay ever since. I went back to the same surgeon this past May and fresh x-rays reveal that not only is the big toe joint much worse, the toe next to it is being effected by the growing deformity as well. I'm insured under Obamacare, but every year my premiums, deductible and co-pay get higher and I just can't raise this money myself. If it was just a matter of this bill alone, I would pay it in installments no matter how long it took. But, unfortunately I'm already swimming in $18,000 of medical debt and I just can't squeak out another payment. I've read numerous stories of people raising funds for all sorts of this on this site, so I thought I'd try it.