Hi! My name is Sam and my family is reaching out to ask for help for a very special kitten named Mavis.
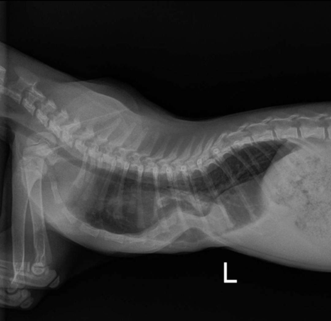
Mavis has a condition called pectus excavatum—a congenital deformity that causes her breastbone to grow inward. In her case, her chest was pressing on her lungs, heart, and esophagus, making it hard for her to breathe, eat, and grow like a normal kitten.
Despite her struggles, Mavis is incredibly sweet, affectionate, and full of love. She wants nothing more than to play, snuggle, and live the full life every kitten deserves—but she couldn’t do that without urgent surgical intervention.
Mavis’s condition could only be corrected through a specialized surgery that reconstructed her chest and relieved the pressure on her internal organs. With this surgery and proper follow-up care, she has an excellent chance at a long, healthy life.However, the costs are overwhelming for us to manage alone:
Diagnostic appointment: 430.36
Second appointment, x-ray with contrast: 197.03
Surgical consult: 211.75
Cardiologist: 1,077.60
Surgical estimate (high end): 3,251.42
Total cost: $5,168.16
We’re setting our goal at $6,000 to ensure Mavis gets everything she needs—not just to survive, but to thrive.If you’re not able to contribute financially, please consider sharing her story. Your kindness and support mean the world to us and to Mavis.
We believe Mavis deserves a chance to grow up, chase dust bunnies, curl up in sunny windows, and live her life to the fullest. Please help us give her that chance.
Organiser and beneficiary
Laura Harmon
Beneficiary




