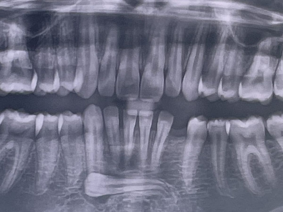
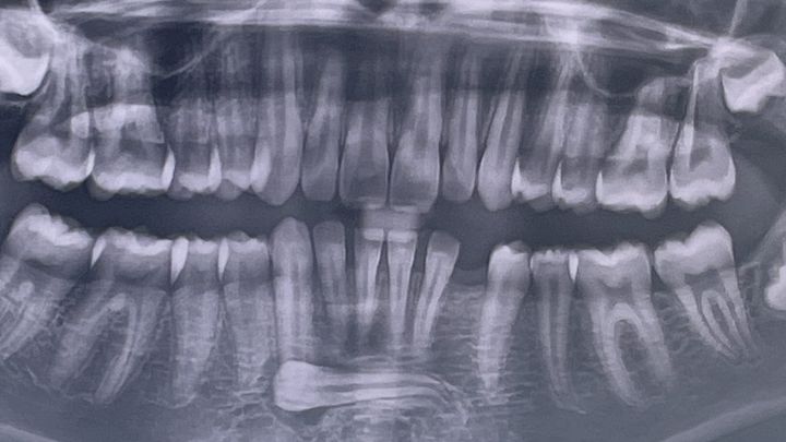
Hi, my name is Amber and I am raising funds for my son Justices oral surgery. We recently were told that one of justices adult teeth had turned sideways into his chin instead of emerging like a normal adult tooth would, as well as having an under developed lower jaw. Because of this he is now in need of oral surgery to remove the tooth that has turned along with all 4 wisdom teeth. Once his oral surgery is complete he will have to have 3 types of dental blocks/braces over 3 years, followed by upper and lower retainers night and day until he is 20 and then will need to have a dental implant placed.
If he does not have the surgery and braces started within the next year his lower teeth will push out of his lower jaw, and they will likely have to brake his jaw to help it grow instead.
We are hoping to raise $5000 to pay for his oral surgery and to place a down payment on his braces so we can be eligible for a payment place.
All in all with his surgery, braces, retainers and eventual implant it will cost us $15,000.
We currently do not have the funds to be able to pay for his surgery or down payment.
My partner is in school when justice will need his surgery, and I am currently working less due to a knee injury I sustained in January.
Thank you in advance for any support you are willing to give us, all of it means so much, and will allow justice the ability to move forward with th confidence he needs.

