Justice for Atticus
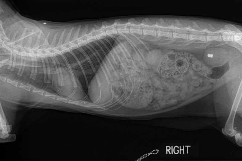
Our beloved cat, Atticus, was shot with a pellet gun on Sunday 8/27/17. Upon impact, the shot broke his femur, and is now lodged in his abdomen. Atticus needs abdominal exploratory surgery to remove the bullet, and to assess internal damages. His leg is badly broken and also needs to be surgically repaired, or possibly even amputated. This was an intentional, malicious act. Our cat is known and loved by many in our neighborhood. We need to put an end to senseless violence. We need justice for Atticus.
The funds that we hope to gain will cover the costs of the emergency animal hospital visit, overnight care, surgeries, pain medication, fluids, lab work, and antibiotics.
Atticus is a warrior, and he will get through this! Any support is gladly appreciated.

Our beloved cat, Atticus, was shot with a pellet gun on Sunday 8/27/17. Upon impact, the shot broke his femur, and is now lodged in his abdomen. Atticus needs abdominal exploratory surgery to remove the bullet, and to assess internal damages. His leg is badly broken and also needs to be surgically repaired, or possibly even amputated. This was an intentional, malicious act. Our cat is known and loved by many in our neighborhood. We need to put an end to senseless violence. We need justice for Atticus.
The funds that we hope to gain will cover the costs of the emergency animal hospital visit, overnight care, surgeries, pain medication, fluids, lab work, and antibiotics.
Atticus is a warrior, and he will get through this! Any support is gladly appreciated.


