Please help Luna get urgent bladder surgery

  • M
  • J
11 donors
0% complete

€230 raised of €1.4K

Please help Luna get urgent bladder surgery

Donation protected
21.02.25
Update #3

We had yesterday a rather stressful day, Luna refused to eat anything. Which took me by surprise because she had such good appetite on the day of her surgery. I gave her medication as per advice of the vet but she vomited within 30 minutes. Out vet told her to keep an eye on her and bring her over if she wouldn’t eat until the evening to have her medication injected instead.

Thankfully, she ate in the afternoon! And we could give her the required medication.

Luna is still having blood in her urine, the vet expects that to cease within the next days. She is still rather worn down and is resting.





I also contacted her breeder as I wanted to see if this is something she has observed in any of her cats and she confirmed that none of the cats in her family tree have had this issue. I will be also working with her to tweak her water intake and combine it with the new prescription food that she will be using. Wish us luck that we find the best course of action for her!


19.02.25
Update #2


She’s back home!! And in good spirits but a bit dizzy from the anesthesia. However, she came with an appetite, which is great!. All 3 stones were successfully removed and will be sent to the lab so we can confirm that they are calcium oxalate stones. We will be obtaining results by Monday next week, and will share with you the results. It is very likely that we will be switching her diet to another brand and consider potassium citrate as a supplement to regulate her urine pH so these crystals do not form anymore.

Luna has been has been eating bits of food at time and is currently under pain medication and antibiotics for the next 5 days. We will be keeping an eye on her and restrict her area of movement at home to prevent her from injuring herself.




We have also obtained the final invoices of today and these are available for your review below. I will work on upload them as images so they are complete and not broken down, for transparency purposes.







I will continue to post updates from Luna’s recovery journey tomorrow, we hope that she will be a bit more active and act more like herself after tonight.

I want to thank our donors once again, I am so grateful for your contributions to help us make Luna feel better ❤️. We do hope that this is her last surgery and that the upcoming changes that we will make to her diet will help to keep her stones-free.

Update #1
Luna kept hiding and peeing around the house, her pee was more red than yesterday. But we brought Luna for her surgery today at 8am in our vet clinic. We are currently waiting for her be ready for pickup.




We were also given a written agreement that the costs of her surgery will be around 1200€.



18.02.25
Hi everyone,

My name is Veronica and I’m reaching out because my sweet cat, Luna, needs urgent surgery to remove bladder stones. She’s been part of our family for almost 9 years and she has been a rather healthy and happy cat. Except that she is prone to get urinary crystals in her bladder. 5 years ago, she would constantly cry and pee outside the box, leaving drops of pee with blood on the floor after using the litter box. It was then discovered that she had stones in her bladder. We switched her food for a short period of time but the crystals did not dissolve. So she had to undergo surgery and luckily recovered from this episode. Since then we switched her to Royal Canin S/O food and she was been doing great until today.

Today she started peeing outside her litter box — and the second time there was blood.




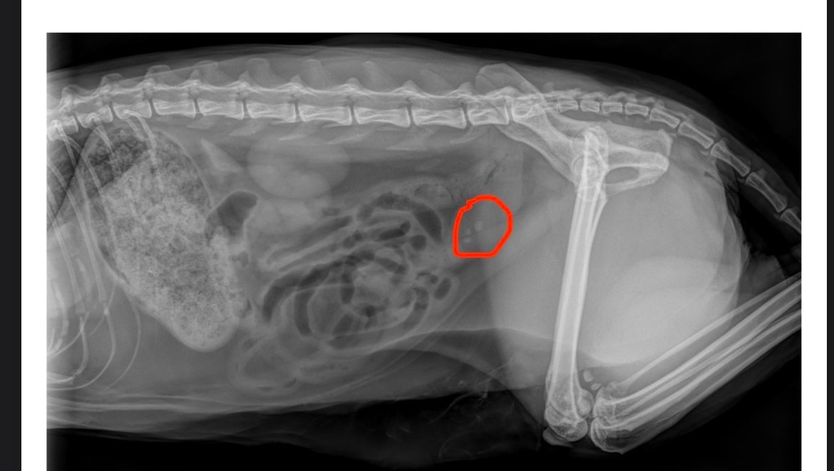
I took her to the vet for checkup fearing and hoping it wouldn’t be stones again and unfortunately the X-rays showed three stones in her bladder.




Knowing her previous symptoms 5 years ago, the size of the stones and due to the fact that she is already on specialized food, the vet says surgery again is the only way to make her comfortable again.

This will be her second surgery, and it pains me to see her going through this again. The stones present in her bladder are suspected to be oxalate crystals which are highly recurrent and not possible to dissolved through diet. She is also already on Royal Canin S/O urinary food but it seems to not be effective enough.

The cost of the surgery plus (estimated by the vet between 1000€ and 1200€)




today’s vet visit (165,14€)




makes around 1165,14 to 1365,14€, and as a mom of two kids with a part-time job, I just can’t cover it alone.


Anything you can donate, no matter how small, will go straight to her care. Even just sharing this with friends or family would mean so much.

Thank you so much for helping Luna get through this — I can’t wait to see her feeling better and healthy again.



19.02.25 Update #1

Luna kept hiding and peeing around the house, her pee was more red than yesterday. But we brought Luna for her surgery today at 8am in our vet clinic. We are currently waiting for her be ready for pickup.



We were also given a written agreement that the costs of her surgery will be around 1200€.

Organiser

Veronica Esther Solis Gonzalez
Organiser
Johannesberg, Bayern
  • Animals
  • Donation protected

Your easy, powerful and trusted home for help

  • Easy

    Donate quickly and easily

  • Powerful

    Send help directly to the people and causes you care about

  • Trusted

    Your donation is protected by the GoFundMe Giving Guarantee