- E
- R
Help Josh get back on his feet
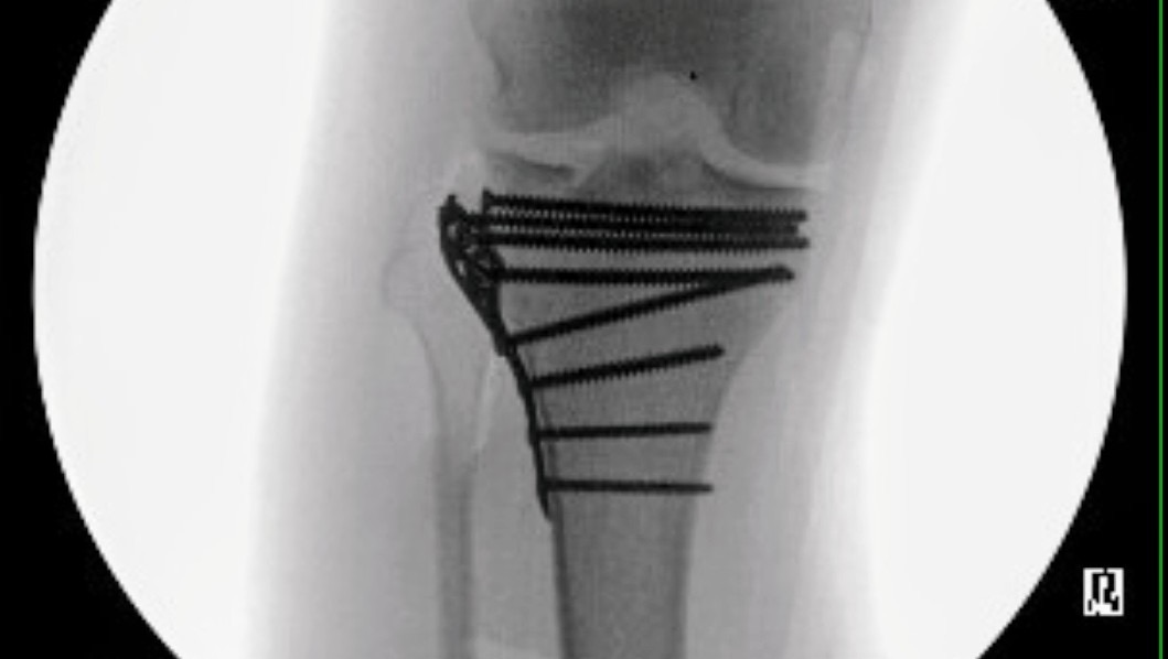
Last weekend, Josh and I went to Carolina Beach to celebrate my daughter's 13th birthday. After only a few minutes in shallow water, he was hit by a kid's surfboard and knocked down by the waves. Of all the bad luck, the surfboard managed to fracture his right tibial plateau, smashing the surface where his femur meets the lower leg. We were able to get him into surgery on July 18th at UNC, and after several hours, he came out with a lot more metal in his knee and a cool new brace.
You may know Josh from Remy's Lounge/Remedy Room, Beer Study, the Wooden Nickel, Accordion Club, Criterion, Corpse Reviver, or Dain's, making creative cocktails, killer playlists, and snarky remarks. Like many bartenders, he operates with a very small safety net and works hard on his feet. His income comes entirely from bartending which can't be done remotely. This traumatic injury makes work impossible as he will be unable to walk, drive, or bear any weight on his right leg for 3-4 months. He may not be able to get back to work until the end of 2024 or even 2025.
Fortunately, Josh has medical insurance, which will mean medical bills in the thousands rather than tens of thousands. Short-term disability is unlikely to help unless his injury lasts more than 12 months or leads to death (gee, we hope not). We are working to find work alternatives and accommodations for him in the coming months but will need help paying bills while he recovers.
Josh is also a prolific gardener, a music nerd, a fantastic cook, even better partner to me and co-parent to Vera. We're all working to get him through this and appreciate any support from our friends and family.
Thanks from Meg, Josh's partner
Organizer and beneficiary
Joshua Quirk
Beneficiary

