- K
- G
he has completed 30 treatments of Radiation and slowly recovering. In Nov I go back for a MRI to see what it has done.
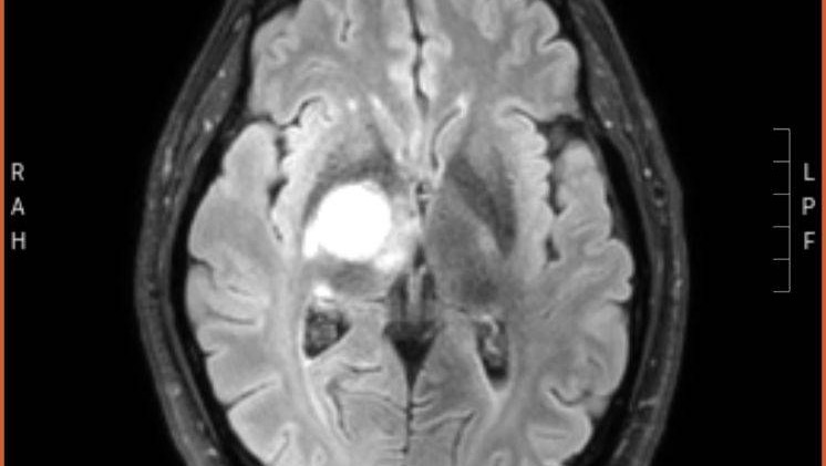
Sadly it has grown a lot. But doctors haven’t spoke with him yet, he got this today from his portal online. Please pray!!
Here is a picture of the tumor, the egg shaped spot is it.
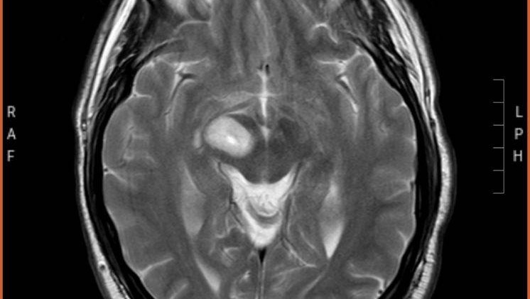
update: I’m taking Ted to
GR to have a functional MRI on The 8th of July. It will map
his brain so they can decide on how to treat it. They can’t operate on it as of yet.
I am starting this for my grandkids Dad Ted Rosencrants. He has a Brain tumor that has affected his left side, much like a stroke does. It is in a part of his brain that they can’t operate on that is spreading to his spinal cord.
He has a team of Nero surgeons at U of M deciding on what to do next, first he has to have a Functional MRI to map his brain so they can decide what areas they can treat without doing to much damage. He is unable to work because of his left side being like this.
His children have already lost their Mother (my Daughter) to a blood clot that took her life. His youngest is 13. They live in Cheboygan MI.
They are in a terrible situation and having an extremely hard time staying afloat. So I decided to try this to help him and his family this way. For food, bills, travel etc.
If you can find it in your heart to help even just a little we would all be extremely thankful! I don’t know what else to do.
I will update with every detail as soon as it happens. Thank you from all of our hearts for anything.
Organizer and beneficiary
Ted Rosencrants
Beneficiary

