- s
Hey, mein Name ist Alex, ich bin 25 Jahre alt.
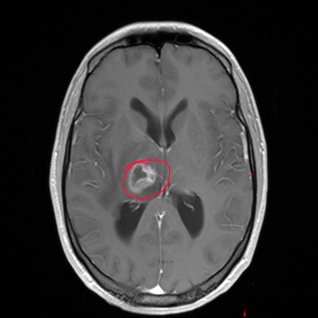
Anfang Oktober letzten Jahres hat sich mein Leben ziemlich abrupt verändert. Was zuerst wie eine Anomalie im Gehirn aussah, stellte sich am Ende als zerebrale Toxoplasmose heraus. Seitdem habe ich eine Hemiparese auf der linken Seite – heißt konkret: Die komplette linke Körperhälfte ist stark eingeschränkt.
Mein Alltag ist seitdem alles andere als leicht, weil im Grunde nur noch die rechte Seite richtig funktioniert. Selbst einfache Dinge, über die man sonst nicht nachdenkt, kosten plötzlich viel Kraft, Zeit und Nerven.
Arbeiten kann ich aktuell leider gar nicht. Ich habe kein eigenes Einkommen mehr und werde gerade von meiner Mutter unterstützt, die mir beim Essen und im Haushalt hilft. Dafür bin ich extrem dankbar – gleichzeitig weiß ich, dass sie selbst nicht viel hat. Genau das macht die Situation für mich doppelt schwer.
Zusätzlich gibt es gerade große Probleme mit meiner Krankenversicherung, weshalb ich momentan kein Krankengeld bekomme. Einige wichtige Behandlungen und Therapien muss ich aktuell sogar selbst bezahlen, was finanziell kaum zu stemmen ist. Rechnungen stapeln sich, Schulden bleiben offen und der Druck wächst.
Was mir persönlich am meisten wehtut: Ich kann meiner Liebe zur Kunst kaum noch nachgehen. Malen, Zeichnen, Tätowieren oder Modellbau – all das war immer ein riesiger Teil von mir und fällt mir mit der Einschränkung meiner linken Seite extrem schwer. Es fühlt sich an, als hätte man mir einen wichtigen Teil meiner Identität genommen.
Und dann ist da noch das Singen. Ich mache eigene Musik und habe eigentlich fast ständig gesungen. Dass ich das im Moment nicht mehr kann, trifft mich richtig hart. Musik war immer mein Ventil, mein Ausdruck, mein Zuhause.
Mit diesem Spendenaufruf hoffe ich, meine Mutter etwas entlasten zu können, offene Schulden zu begleichen und mir die Unterstützung zu ermöglichen, die ich für Behandlungen, Therapien und Hilfsmittel brauche – damit ich mir Schritt für Schritt ein Stück Selbstständigkeit zurückholen kann.
Trotz allem habe ich nie die Freude am Leben verloren. Ich sehe diese Situation als ein riesiges Sprungbrett: eine Chance, ehrlich auf mein Leben zu schauen, alte Fehler zu erkennen, daraus zu lernen und mein Leben neu zu formen. Nicht perfekt – aber bewusster, stärker und mit mehr Sinn.
Danke, dass du dir die Zeit nimmst, meine Geschichte zu lesen und mich auf diesem Weg unterstützt.
Das bedeutet mir mehr, als ich in Worte fassen kann.
My name is Alex, I’m 25 years old, and my life changed suddenly last October.
What first appeared to be a brain anomaly was diagnosed as cerebral toxoplasmosis, leaving me with left-sided hemiparesis. Everyday tasks now require immense effort, and I’m currently unable to work or earn an income.
I’m being supported by my mother, who helps me with daily care despite having very limited financial means herself. At the same time, I’m facing serious issues with my health insurance, which means no sickness benefits and having to pay for essential therapies and treatments out of pocket. Bills and debts are quickly piling up.
Losing my ability to create has been especially painful. Art and music have always been a core part of who I am, and my physical limitations make it extremely difficult to express myself the way I used to.
With this fundraiser, I hope to ease the burden on my mother, cover urgent costs, and access the therapies and tools I need to regain independence step by step.
Despite everything, I haven’t lost my love for life. I see this moment as a turning point — a chance to rebuild with strength, awareness, and purpose.
Thank you for reading and for your support.
It truly means more than words can say.





