- K
- J
- G
Hey Ya'll,
Mitchell is a huge part of our Sudy-Verse family as well as an awesome friend and human. He was in an accident last Tuesday, and is in a really tough spot as far as his financials go. He is a huge support with Marigold, and is taking over the position of GM as well after myself once he is healed up. These are his words:
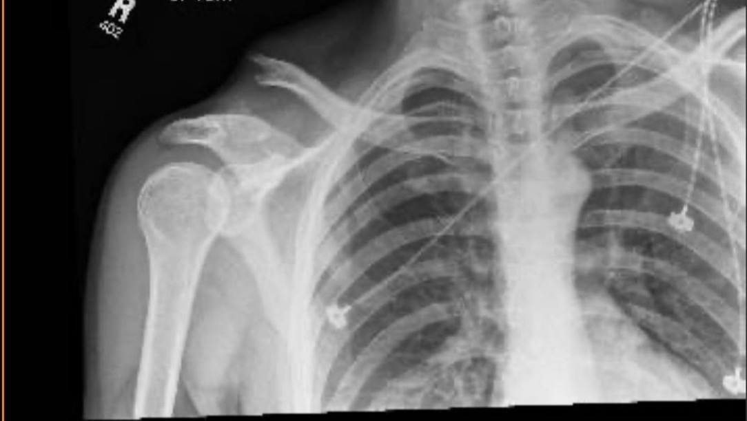
Hey y’all just a lil update: So I was in a bike accident 8 days ago making the 3.5 mile journey home at around 1:30am. A car came in a little too close in the lane I was in and I over corrected, hopped the curb, lost traction and flew into a rock(s?). 8 broken ribs and snapped my clavicle as well as the tendons that held it together. My phone was lost in the accident and the car didn’t stop, I searched around for the phone in the dark for a bit gave up and started walking my bike towards home. Things get fuzzy as the pain starts making its way through the adrenaline but I eventually met a seriously nice parking attendant that gave me a ride the last couple miles home. Made it to the hospital by around 2:30am and much of that last hour I cannot remember. After 36 hours in the hospital I was able to go home and wait for surgery, I can’t explain the pain but having a bone sticking out of your neck and feeling your shoulder separate every time you move is unreal, it’s also not lost on me that I’m lucky to be alive at all to even experience that. 4 days later (yesterday) and surgery went well by all accounts, I now have a dead persons tendons holding my bones together so at least it kinda fits the season. Be safe y’all I love you- I’ll be out of work for a while and have costs associated with the accident building up, hate to do this and never thought it would be me asking for help.
Broken collarbone pictured below:
Please help him out if you are able! I know our community has taken a huge hit this past month, but any and all help is appreciated. Thank you!
Organizer and beneficiary
Mitchell Boyle
Beneficiary

