- D
- J
Hi,
I'll start from the end:
My name is Shirley, and I have spent the last few weeks trying to save Lucky's life with my husband, Ron.
Lucky isn't my dog and needs to find his forever home.
I am only trying to help him get back on his feet (literally) and have already had to pay approx. $5,000 out-of-pocket to cover several medical bills related to veterinary care and surgery.
This expense was a huge surprise since we didn't expect it, but we knew we must do the right thing for this dog.
I am creating this fundraiser to let our friends and the incredible animal-loving community contribute, help us cover Lucky's medical bills, and keep supporting him until he finds his forever home.
He is a loving boy who found himself in a dangerous, life-threatening and horrible situation.
We appreciate any contribution.
Please help us spread the word by sharing with friends, family and your social networks.
The full story:
My husband and I drove from Bakersfield to Los Angeles a few weeks ago.
Suddenly, I noticed a dog lying on the side of the road near Rosamond.
For those who are unfamiliar with this area, it is a desert.
We stopped the car and found out he was very thirsty and dehydrated, so We gave him food and water.
I wanted to take him to the nearest clinic and scan his microchip but realized he was in pain and couldn't move as he was bleeding and was probably hit by a car.
It was getting late on a Sunday, I asked for some assistance from a nearby resident, and together we picked him up so I could put him on my lap for the ride.
I wasn't even sure he would survive the ride.
We took him to North Valley Veterinary Center at Lancaster just before they closed for the day, and they were able to provide first-aid treatment and had to refer us to a hospital for further treatment.
The local Animal Services was closed, and we didn't know what to do, but when he looked at us, we knew we had to give him a chance.
We took him with us to Los Angeles and had him admitted to Access San Fernando Valley animal hospital.
They further stabilized him, took x-rays, and did a few tests.
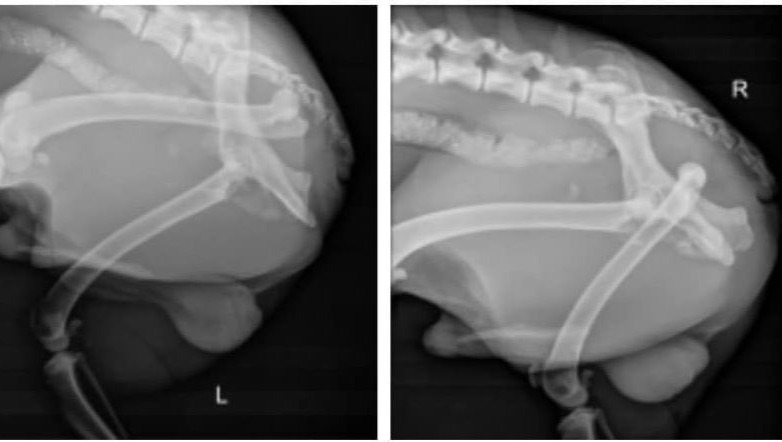
Then the bad news arrived: He had a fractured pelvis and a broken femur, and the staff recommended emergency FHO (Femoral Head Ostectomy) surgery.
This poor guy was not just hit by a car; he was run over by a car and was left to die in the middle of the desert, without the ability to move and reach food, water or shelter.
He was hospitalized for 24 hours, and then they referred me to a low-cost clinic that was able to perform the surgery at a discounted price of $2,435.
Following an overnight hospitalization, we went ahead with the surgery, and he started his cage-rest rehabilitation the next day.
Since then, He has been in our house, getting intensive care and treatment.
We have been carrying him 2-3 times a day to go out in the backyard.
He is feeling better now, and I promise to post updates as we go.
If you've read so far - please consider contributing to help us cover the medical bills we have had to pay thus far to get this cute guy back on his feet.
The bills reached $5,000, and we know we still have a long way to go.
I doubt he would've made it alive if He was left where he was.
Also, We need to find this sweet dog a forever home as soon as possible.
He deserves the best home after what He's been through.
Even though people let him down, Lucky loves people and is very friendly to both people and other dogs.
If you want to adopt him or know someone who will - please reach out.
Thank you so much for your attention and participation!
Some of our bills for reference:

