- J
- L
- J
Daisy is a beautiful, young, liver and white Pointer we saved from an over-crowded shelter in Tennessee in January.
She tested positive for heart worms and while she was in foster care out of state, we started our slow kill program. When she moved to her new foster home in St. Louis, we had her seen by a vet for a cough, but nothing was noted. When she finally moved to foster care in Illinois in April, we got the worse diagnosis that Daisy has Blastomycosis-- a terrible fungal infection in her lungs and her tick serology also showed Rocky Mountain spotted fever.
Heartworm disease is complicated but Blastomycosis was a devestating and expensive diagnosis-- especially complicated with RMSF. As you can see in her photos- she is very thin and that hasn't changed a lot these past few months as she needs an appetite stimulant to help her eat.
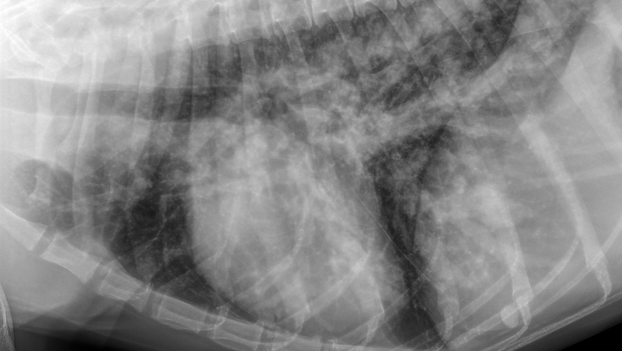
Blastomycosis looks like a snow storm in the lungs which is evident in Daisy's first x-ray. Daisy's prognosis was a 50% survival rate but so far she is still hanging in there. She is 3 months into Blasto treatment with anti-fungal medication and 6 months into heartworm slow kill.
Some days Daisy still needs to be force fed, but she seems to be coughing less and she does run around the yard. Most of the time she spends outside watching for squirrels in the big elm tree in my yard.
Daisy's monthly medications are about $200 and and we always need food donations. Our original vetting expenditure for blood work and chest x-rays was close to $1,000. Her last vet visit was $200 and she will be due for new blood work in September. On average our heartworm positive dogs are negative at 8 months, but with how immuno compromised she is, it will probably take a lot longer.
Blastomycosis infections can take months and months to clear-- but we are hopeful. Daisy's recovery could offer hope for dogs with this terrible infection, and additional health complications. Her prognosis is better than it was.
We sure need a lot of support to help sweet Daisy recover. Please consider a donation to help with her care. I am committed to helping her get better and find her forever home. --Lisa Spakowski IBR Founder & President
Organizer
Illinois Birddog Rescue
Beneficiary

