- j
- F
Hello everyone, first of all thank you all for the support you are giving Mustafa and I with Hinata and Yoshi. As I stated before, the diagnose for Hinata changed about 2 weeks ago.And I only have 10 days to reach the goal.
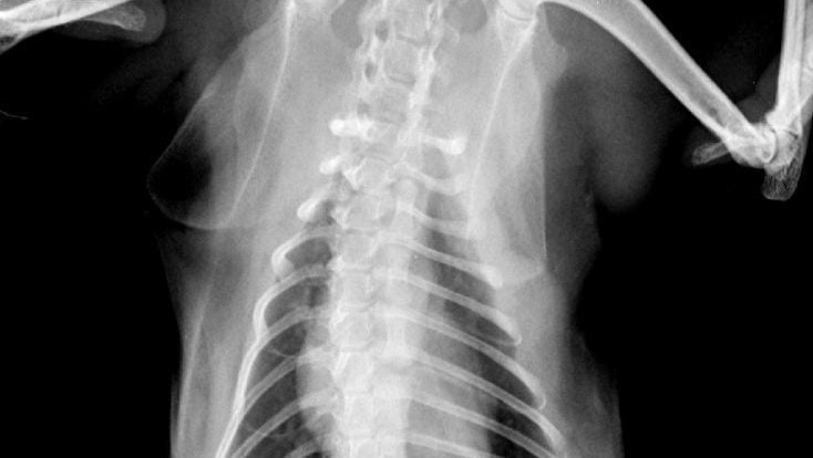
Turns out the mass is located on her mediastinum, and it has to be surgecally removed.
Also, through other tests we found 4 tumors that go from her ear to her jaw which makes it diffivult or painful for her to open it correctly to eat! This masses have to be also removed through surgery and she needs electrochemotherapy on there too, to prevent the carcinoma to keep advancing.
The PCR for mycoplasma was positive so we started a treatment 17 days ago (almost done) that could be one of the reason for her cough.
Since the mass in her mediastinum is getting bigger, she is having trouble digesting properly the food and also has hard time breathing coz of the pressure.
The diagnose and treatment has changed, and vets said it has to be done very fast, or else it would be best to euthanise her. Of course I don't wanna lose her, but also the costs of this treatment are much bigger than before.
From the donations already received, 1750 dollars were used for her studies, and the rest were used (733 dollars) to pay for her and yoshi's vet care whern I was hospitalized on november 3 for 15 days. they stayed there that's why the costs were high.
Now for the new treatment both surgeries are done the same day
Mediastinum mass 1250 dollars
ear and jaw carcinoma 3550 dollars.
the total of the costs for both are 4800, this is why the gofundmegoal changed.
I know 10 days is too little time, but it is what is suggested by three vets that are under her case. If you can copy her gofundme link and share it we will appreciate so much the help. I really don't wanna lose Hinata before new years, this year has been full of difficult cases and losses, please help me save my baby seagle's life.
this is the study of her tumors in her jaw and the rest of ultrasound, ecocardio and torax.
thge next is the diagnose of her ear and jaw. Squamous cell carcinoma grade II and margines grade III.
I still don't have the rest of the studies because it takes them a long time to send it to me, this two last took about a month and a month and a half respectively to be sent to me.
Thank you all for the support you are giving to this very difficult cases that come my way! And also thank you so much to be part of the community! Hope we can help Hinata like we helped yoshito ! I will be updating everything on Tiktok and I hope you all stay tuned and cheering for Hinata's full recovery!
we thank you all, sincerely
Kisses from Hinata and Yoshi!
Again thank you for the support, and please if it's in your power to share, it would mean the world to us!
byebye!!!!!!

