- S
- U
Mikko is a sweet 12 month old, little chihuahua mix that was rescued from a busy street in Tijuana, Mexico. Found in a little box, covered in parasites, underweight and unable to walk. Although he had very noticeable signs of neglect and abuse, Mikko has remained a very loving and happy dog. We've treated him for his parasites, ran blood and fecal tests, helped him gain weight to prepare his body for surgery, kept him up to date with his shots and gave him much needed love and care. In just a few weeks, we were shocked to see that he began to move around, his legs weren't fully functioning but he was determined to play. Of course, we were preparing for the answer to the haunting question we had, "What happened to Mikko?"
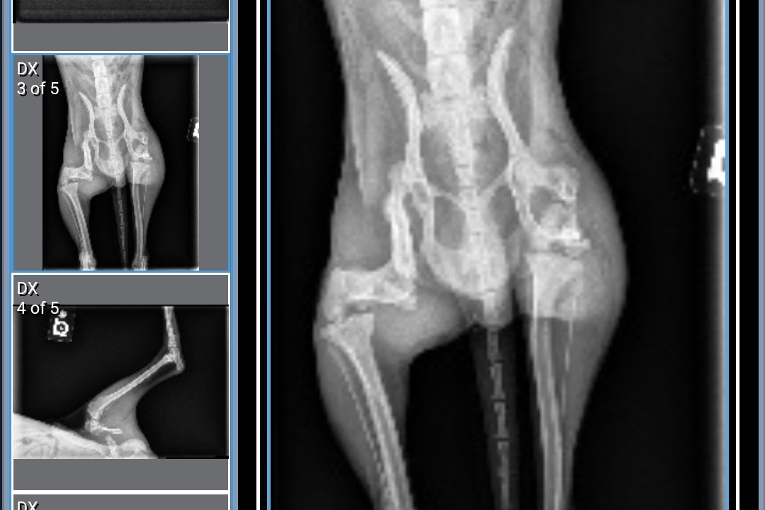
After x-rays, we found out that Mikko had two broken legs. One was an older fracture that had healed improperly and the other was more recent, his leg was completely detached and scraping against his muscle. Due to the fractures, Mikko suffered extensive muscle atrophy and has had to rely on his front legs for mobility. The doctors advised us to proceed with the surgery as soon as possible, stating, "There's still a chance to save his legs but if we wait, we will have to amputate."
Mikko has had a strong will to live and unfortunately, we can't afford the full cost of his 3 surgeries. If you can, please help this little guy have a chance for a better quality of life. Anything will help.
❤Follow Mikko's Recovery Story❤
⭐Auction to help Mikko⭐
⚠️⚠️⚠️Photo Warning⚠️⚠️⚠️
The following images are Mikko's x-rays and the first documented photo of him when he was found.





After x-rays, we found out that Mikko had two broken legs. One was an older fracture that had healed improperly and the other was more recent, his leg was completely detached and scraping against his muscle. Due to the fractures, Mikko suffered extensive muscle atrophy and has had to rely on his front legs for mobility. The doctors advised us to proceed with the surgery as soon as possible, stating, "There's still a chance to save his legs but if we wait, we will have to amputate."
Mikko has had a strong will to live and unfortunately, we can't afford the full cost of his 3 surgeries. If you can, please help this little guy have a chance for a better quality of life. Anything will help.
❤Follow Mikko's Recovery Story❤
⭐Auction to help Mikko⭐
⚠️⚠️⚠️Photo Warning⚠️⚠️⚠️
The following images are Mikko's x-rays and the first documented photo of him when he was found.






