Help Zach Walk Again: Support His Surgery

Zach’s fund will pay for a total hip replacement, surgery costs, and recovery care

  • P
  • Y
196 donors
0% complete

$25,650 raised of $30K

Help Zach Walk Again: Support His Surgery

Donation protected
Help Zachary Walk Again — A Second Chance at Life Without Pain
Fifteen years ago, our lives changed in an instant.
Zach, my one and only son, heart of my heart, fell from a two-story building and shattered his pelvis and hip. The injuries were catastrophic. The surgery was extensive as they put his shattered pelvis back together. The recovery was grueling. But if you know Zach, you know one thing — he is a fighter.

He refused to quit.
He pushed through the pain. First with a wheel chair, then with a walker, then with crutches, then with a cane, until he had regained most of his mobility and only a slight limp. They told him at that time, that he would need hip surgery within 10 years. It’s been 15 now.

Over the last several years, the progression and deterioration of his hip has been slowly stealing his mobility.

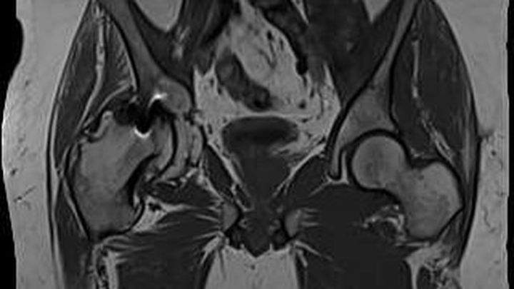
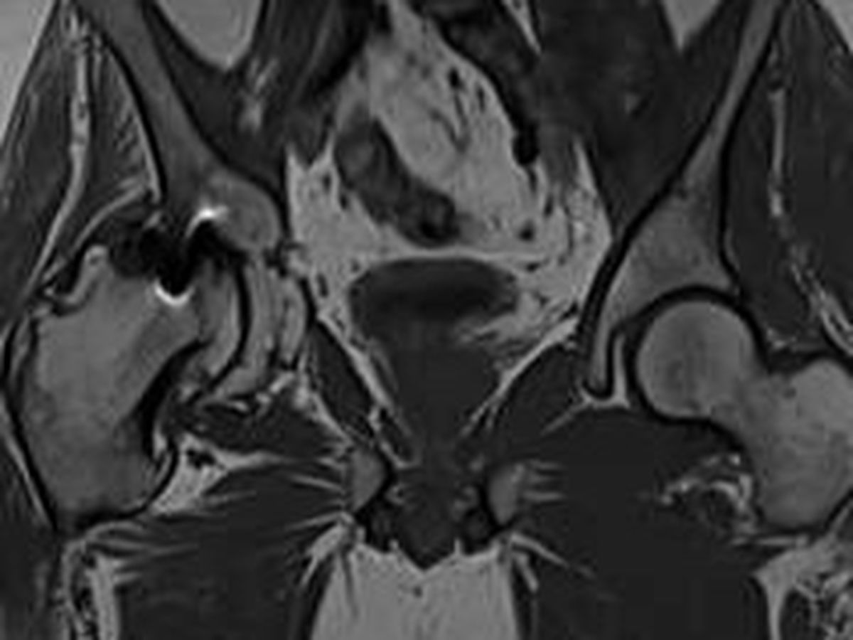
Yesterday, we finally saw why. The MRI revealed something devastating: there is absolutely no cartilage left in Zach’s hip. None. The hip ball is severely damaged and deteriorated. It is completely bone on bone. Severe arthritis has eaten away much of the joint. Fragments of bone are floating around in his body. The image is honestly hard to look at. The hip on the right side of the photo is his normal hip. Now look at the deterioration and malformation and disfigurement of the hip on the left side of the photo. There is virtually no "ball" socket left and the entire hip is severely deformed.

Doctors have made it clear — without surgery, Zach will very likely end up wheelchair bound.

After fighting so hard to walk again…he is now facing the possibility of losing that ability — not because it can’t be fixed, but because it costs more than he can afford. He is a small business owner who cannot afford expensive health insurance.

The total hip replacement surgery is estimated at $30,000+.

Watching this unfold has been heartbreaking. He delayed this due to not having health insurance for years beyond what he should have. Never once complaining.

This surgery isn’t cosmetic. It isn’t optional at this point. It is the only hope. It’s the difference between independence, a chance to walk and function normally again or be completely disabled and wheelchair bound.

We are scheduled on March 9th with an orthopedic hip surgeon to find out exactly what the surgery will entail, but we already know that total hip replacement will be the only option for him to regain mobility and quality of life. We will update this page, once we have the details from the surgical consult.

If you know Zach, you know his big heart. You know his kindness to others and his compassionate nature. You know his strength. You know how much he has already overcome.

Now he needs us.

Every dollar helps.
Every share matters.
Every prayer is appreciated.

Let’s give Zach the chance to walk without agony. To move freely again. To have his life back.

Thank you for standing with Zach and helping him get this life changing surgery. If you can’t donate please please share, share, share. With deepest thanks and gratitude. Angela Gordon aka Zach's Mom.

Organizer

Angela Gordon
Organizer
Buford, GA
  • Other
  • Donation protected

Your easy, powerful, and trusted home for help

  • Easy

    Donate quickly and easily

  • Powerful

    Send help right to the people and causes you care about

  • Trusted

    Your donation is protected by the GoFundMe Giving Guarantee