- C
- J
Hi! I’m Caitlin and I’m fundraising for Vanessa as she begins the journey to fight her brain tumor.
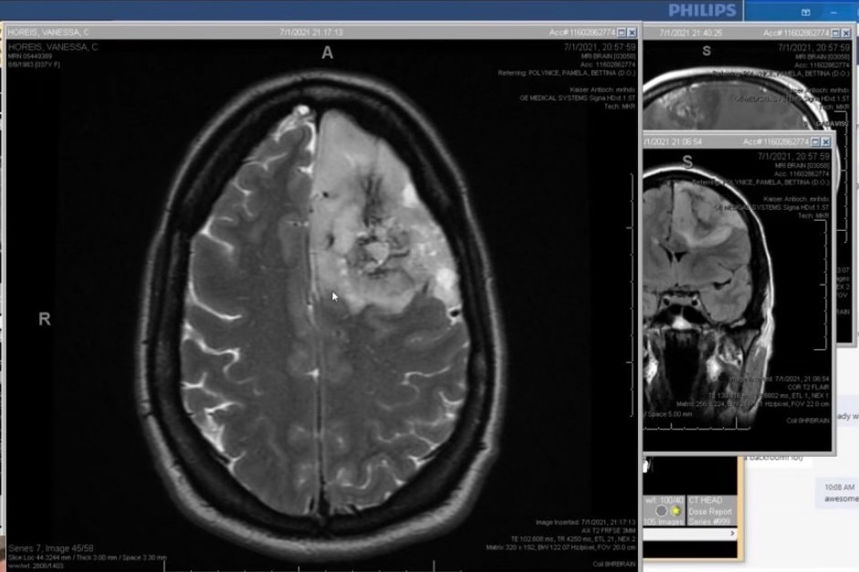
Vanessa has been diagnosed with a brain tumor that needs to be removed immediately. With the loving support of her husband, Erich, they have jumped into developing a plan to rid her body of this very large tumor ASAP. Anyone who knows Vanessa - personally or professionally- will tell you Vanessa has a huge heart and a lot to live for. The tumor has to GO!
In the past few weeks Vanessa has undergone lots of tests and met with many fantastic doctors and has decided that she will be having her “awake brain surgery” at UCSF in the next few weeks.
Vanessa is a fighter that is ready to take on this unwelcome intruder but there are still many unknowns.
In Vanessa’s words:
“The surgery itself will last 4 – 6 hours and I will be in the hospital a minimum of 2-3 days - all depending on my response and recovery and ability to be properly supported upon returning home.
Recovery from this surgery is not quick – THEY ARE REMOVING A HUGE SECTION OF MY BRAIN, so not everything goes right back to normal. It will be a many months long process and there is a chance it may involve more or less therapies (both neuropsych and speech and language, all of which UCSF has), depending on multiple factors.
Like other cancers, treatment WILL include lifelong MRIs. It may include some chemo; it may include some radiation; it may include more surgeries for removal, it may include other immuno-therapies being trialed at UCSF.”
As they fight this tumor together and with the support of their family and friends we wish that they are able to make all their healthcare decisions without the extra financial stresses associated with such large medical procedures. (Switching from Kaiser to UCSF has left many unknowns financially due to a major insurance change but the change is necessary).
If you can give any amount to make this fight easier it is appreciated!
We are praying for the entire Horeis family - may they feel the love and support from everyone TEAM VANESSA!
Organizer and beneficiary
Vanessa Horeis
Beneficiary

