- M
- D
- M
The Final Push - finally eradicating the tumour!
I never realised how hard these things are to write - facts are easy but putting emotions to paper….. yeah nah! or maybe it’s simply the fact of learning to ask for help is hard!
Either way, that’s exactly what this is - an ask for help.
Cam, Felix and I are soon to embark on our trip to Melbourne VIC to undergo the last part (fingers crossed) of my cancer treatment - surgery. While there is some support from the Tasmanian Health System to travel to VIC for this surgery, there is still a chunk of expenses which will need to come out of our pockets. We are doing what we can with the support we get from Centrelink but unfortunately this trip will leave us extremely tight and the last thing we want to worry about at the moment is being able to pay bills and putting food on the table.
So please, if you’re able, a little help will go a long way during this last stretch of my cancer journey.
* photos below *
An overview of our Cancer Journey so far…
It’s crazy how life can change in the blink of an eye - usually in the form of finding a partner, welcoming a dog into your home, having a baby or a trip you’ve always dreamt of coming true.
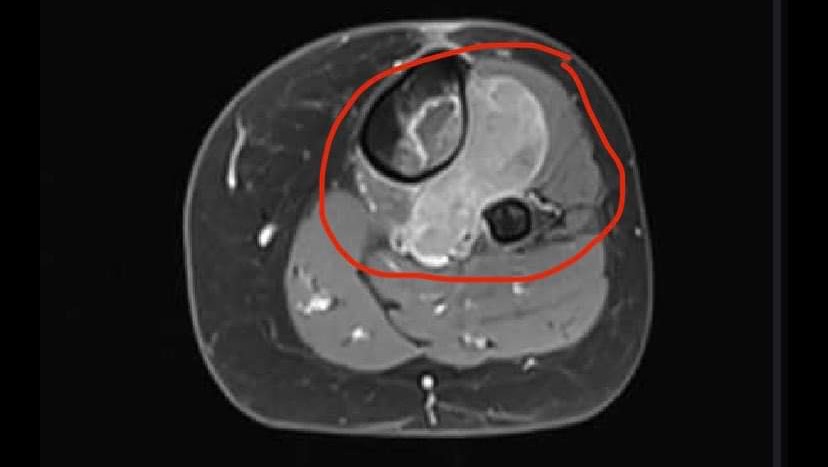
Life definitely changed very quickly for this new family back in Sept/Oct 2023 - a diagnosis of Ewings Sarcoma (rare aggressive bone cancer) in the left lower leg while also being only 3.5 months postpartum to our first baby - we were stunned nonetheless.
Chemotherapy began in November 2023 - every fortnight for 14 rounds… doesn’t sound too bad right?! From round 1, it has been a roller coaster. The nausea, feeling yuck for the fortnight, getting maybe a day or 2 where you actually believe you’re starting to feel human again, the inability to taste food and water tastes awful for just shy of a week. Oh and don’t forget the white cell boosting injection every fortnight that makes all the bone marrow of your bones swell for numerous days - it’s been tough to say the least.
Surgery to remove the tumourous bone was scheduled between rounds 6 and 7 but scans revealed that while chemo was having a good affect on the cancer, the tumour had not receded back into the bone and away from the nerves and vessels enough. So no rest for the wicked! We continued on with our fortnightly chemo schedule with no break.
Round 9 saw us start radiotherapy for 5 weeks (while continuing with the remaining chemo rounds). By this point in my treatment I was beyond exhausted, mentally fried and emotionally numb. Getting the news of needing to do radiation took my feet out from under me. The additional stress on not just me but Cam and Felix too - I didn’t know how we were going to cope…. 15min appt, everyday for 5 weeks with 1hr 15min travel each way. Luckily Cancer Council Tasmania were able to assist with the travel back and forth so while it was all very tedious, we settled into a routine pretty quickly. This part was thankfully painless but increased fatigue was the main takeaway.
Fast forward to today, 6 days post 14th round of chemo, I’m still enduring the bone swelling pain, exhaustion and occasional nausea but there is no more going back to chemo - it’s time to actually recover.
To say this journey has been tough doesn’t really even cover it. So very thankful for the 8 blood transfusions that kept me going, Cameron for holding down the forte, being there when I crumbled and for being Felix’s primary carer and everyone who has sent us well wishes, lent a hand or have simply just been there when we needed it. Thankyou.
Onwards to the next stage - we find out next week if the surgeon is able to save my leg or amputate. This next stage is big but should be the last in the great scheme of cancer.

