- T
- A
Hi! My name is Aitana and I am Leia's mom. She is a 4 and a half year old kitty who is the absolute love of my life.
She suffered from FIP (feline infective peritonitis) three years ago and thanks to all of you who donated, she's alive today. Unfortunately, the treatment for FIP was only through injections back then. These injections caused an inflammatory reaction in Leia's skin which induced the development of the mesenchymal tumor she has today.
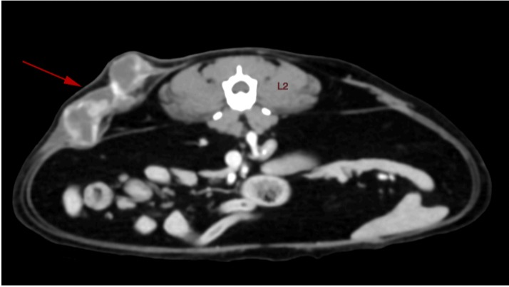
I found two small bumps on her skin a week and a half ago while giving her pets, so I took her straight to the vet. After a biopsy and CT scan, we now know we need to move as fast as possible to operate and give her radiotherapy to obtain the best possible outcome.
We are getting mixed opinions from vets - some say she'll never recover, while others have some hope for her.
She is such a strong kitten who has suffered so much. She doesn't deserve what is happening to her.
I'm asking for help on this site because I work part time to pay for rent and uni, so I cannot take on a financial burden like this by myself. I can't let her situation get worse because I don't have money to save her. Her life is worth much more than any amount of money to me.
The estimated amount for 2 CT scans + surgery + radiotherapy is about 10.000€.
Please, help me help Leia.






