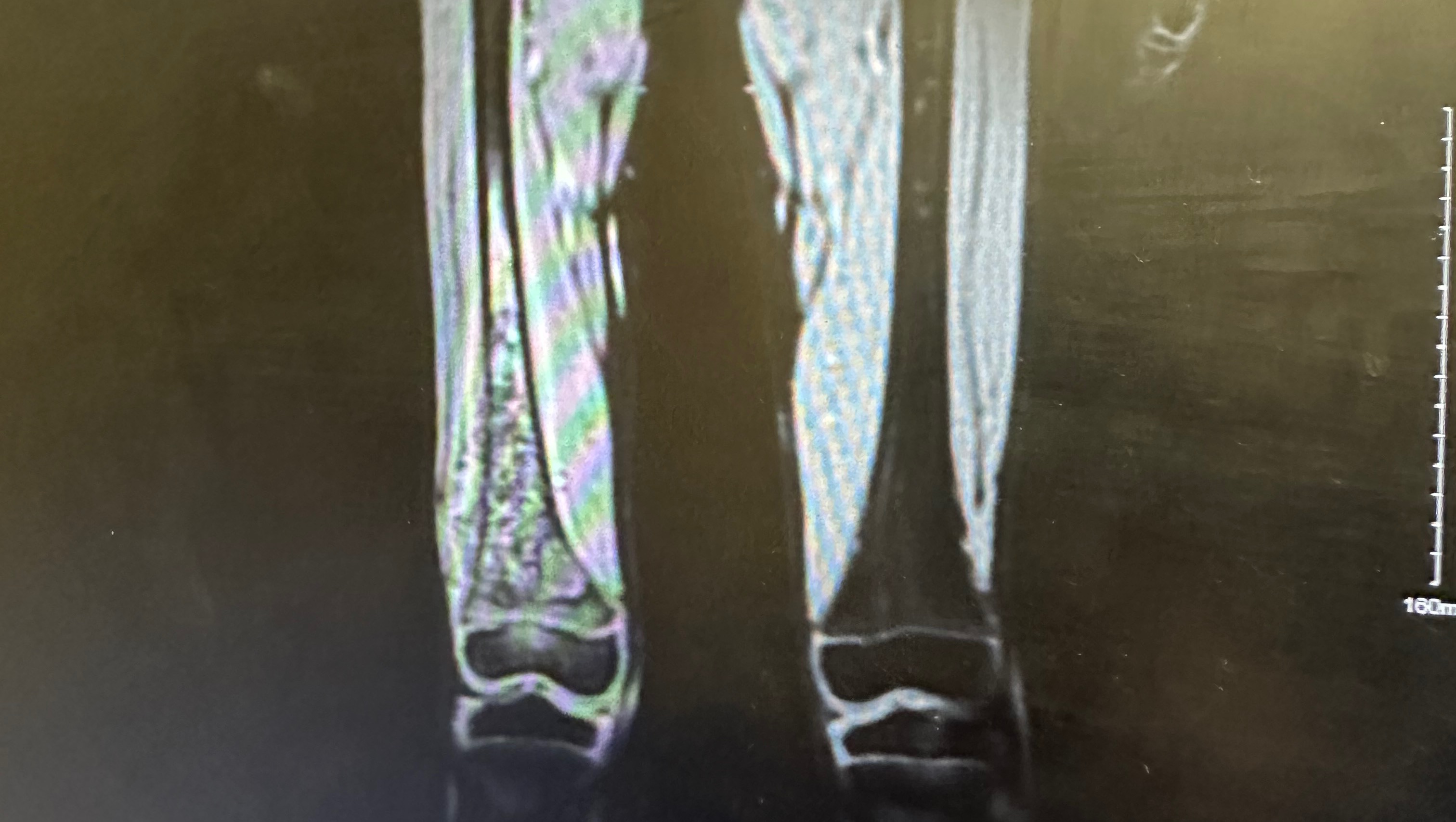
Hello! As many of you know, my name is Bailey and my son Drew has been sick for a couple weeks now. After a bloody nose and low grade fever, we took him into the ER for testing- to find a tumor growing inside his femur bone.
We were sent to Peoria for an MRI, and with that MRI we have been told they believe that this is osteosarcoma , the most painful cancer.
Drew is a smart and caring 9 year old boy who has yet to experience the best parts of his life, and now he is facing extreme surgeries, radiation and chemotherapy, and a possible amputation of his leg.
We just experienced a storm in June that took our home from us, and with the hospital being 7+ hours away- we really need the communities help to sustain, maintain, and get Drew the best help he can possibly get.
This will not be an easy road- but we are ready for the fight!!


