My name is Tiffany Desa and I’m a veterinary tech at a nonprofit organization dedicated to helping animals and the people who love them here in New Jersey. I’ve spent my life caring for others’ pets… and now I’m asking for help to save my own.
On Tuesday, April 14, my husband and I came home from work to find our cat, Autumn, lying on the floor, bleeding and barely holding on. We rushed him to the emergency vet, believing he may have injured himself. Within minutes, we were told he needed immediate, life saving surgery.
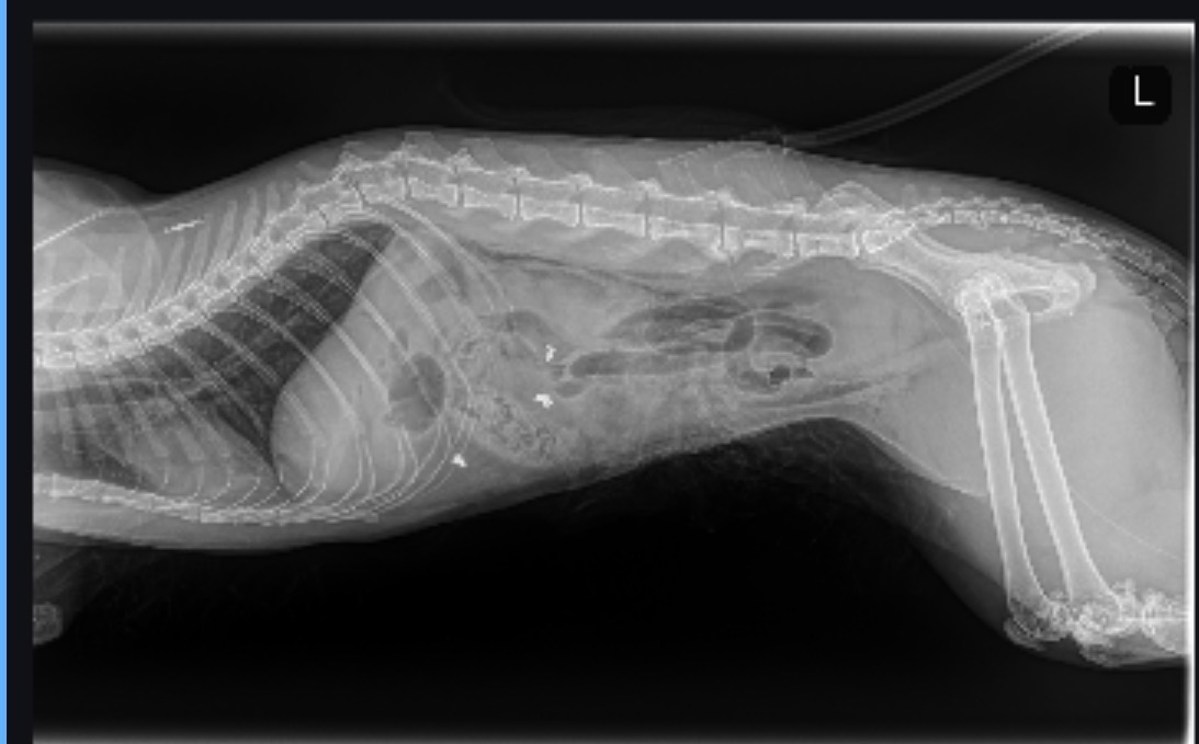
A few hours later, we received devastating news, Autumn hadn’t injured himself. He had been shot with a .22 caliber bullet.
We were heartbroken and angry. We checked our cameras and saw that he came inside from our cat patio around 12 PM, but by the time we found him at 7 PM, he had been silently fighting for his life for hours.
Autumn is now under critical care at Eclipse Emergency Vet Clinic. Despite everything he’s been through, he is still fighting. Every small sign,every movement, every stable moment, tells us he wants to live.
So far, his medical bills have exceeded $20,000, and his post-operative care is expected to cost an additional $15,000–$20,000. My husband and I have already paid as much as we possibly can, covering the current costs. But we are reaching a point where we simply cannot do this alone.
Walking away is not something we can do,not while he is still fighting this hard.
If you are able to donate, even a small amount, it would mean more to us than we can express. If you’re unable to give, sharing this with others would help more than you know.
Autumn has given us nothing but love. We’re doing everything we can to give him a chance to keep living.
Thank you for your compassion, your support, and for helping us fight for Autumn.
I have attached invoices through Thursday, April 16. As he continues fighting through post operative care, we are expecting additional costs of $5,000 to $10,000 per day over the next several days.






