Help us pay our dad’s medical treatment:BrainTumor

  • L
  • P
  • M
86 donors
0% complete

$4,915 raised of $15K

Help us pay our dad’s medical treatment:BrainTumor

Hi everyone,
My name is Diana and I’m fundraising for my dad’s medical treatment 
My dad just turned 59 years old and he was recently diagnosed with Broca’s Aphasia. He also has other brain damage that is still undiagnosed and is affecting his whole body. In the last 3 weeks his condition has been progressing extremely fast. He can no longer walk on his own, can’t read, write or speak normally.
Although his condition is not reversible, we are trying our best to give him the best life we can. His treatment is very expensive and we are still taking him to multiple doctors so they can do different tests on him to give us a full diagnosis. He is also starting physical therapy soon.
All the funds will be used to pay for his treatment, medicine, buying a wheelchair, make his bathroom handicap friendly, etc.
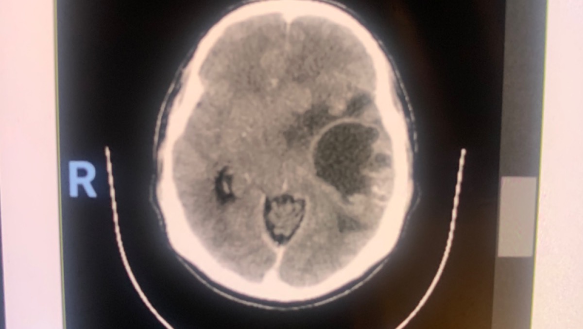
Update: our dad has a big brain tumor. He’ll have surgery as soon as we have the money. The surgery will be around $15,000 US dollars. 
 
——
 
Hola a todos,
Mi nombre es Diana y estoy haciendo esta recaudación de fondos para el tratamiento médico de mi papá. 
Mi papá acaba de cumplir 59 años y recientemente lo diagnosticaron con Afasia de Broca. También tiene otros daños cerebrales que aún no está diagnosticado y está afectando todo su cuerpo. En las últimas tres semanas su condición ha avanzado demasiado rápido. Ya no puede caminar solito, no sabe leer, escribir o hablar normal.
Su condición no es reversible, pero estamos tratando de darle la mejor vida que podemos. Su tratamiento es muy costoso y todavía lo están viendo diferentes médicos especialistas y haciendo diferentes exámenes. También va a empezar terapia física pronto.
Todos los fondos recaudados serán usados para su tratamiento, medicina, comprar una silla de ruedas y acondicionar su baño y cuarto para su condición.
Actualización: nuestro papá tiene un tumor cerebral muy grande. Va a tener cirugía en cuanto juntemos el dinero. La cirugía costará alrededor de $15,000 dólares. 
 
Thank you so much, GRACIAS!
 
-Diana & Estefania Villa.
 

Co-organizers2

Diana Villa
Organizer
San Diego, CA
Estefania Villa
Co-organizer
  • Medical
  • Donation protected

Your easy, powerful, and trusted home for help

  • Easy

    Donate quickly and easily

  • Powerful

    Send help right to the people and causes you care about

  • Trusted

    Your donation is protected by the GoFundMe Giving Guarantee