- E
- A
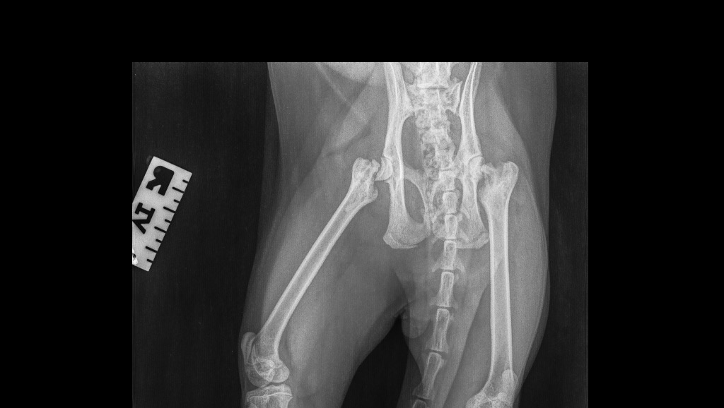
On the 26th of October our beautiful boy Kylo had an X-ray because he was limping. He must be one tough cat because the X-rays showed a serious condition. He had a snapped femur on one side and disintegrating bone in the opposite femur head. Our hearts broke. Our beautiful boy had never been outside, nor in any falls or accidents. How could he possibly have this much damage in his hips? The prognosis was poor. The affordable options for us were euthanasia or a life on pain medication which would result in kidney and liver damage as well as only offer a 25% chance of living pain free. This was not an option for us.
We rescued Kylo when he was 5 months old. This month he turns two. In the last 19 months Kylo has become a part of our family. He is a brother to Dante who is an only child, he is a comfort to me when my chronic illness has me bedridden and he is always chilling with Jason during his late night gaming sessions. Jason is also allergic to cats and has never liked a cat in his life, yet he has fallen in love with Kylo.
The day after we received news of the poor prognosis, Jason came home late. He had gone and purchased the items needed to make ramps for Kylo. He built them that night and Kylo uses the ramps to get onto the couch or bed.
After doing some research and discussing with his vet we have discovered that Kylo has a rare degenerative disease called Legg-Perthes Disease which affects young cats (and dogs and humans). Only 12-16% of those diagnosed with the disease have it in both legs, like Kylo.
The other two options for Kylo, after receiving this diagnoses, included a total hip replacement which would be up to $20,000 per leg and just entirely out of our budget in any thinkable way. Instead, we have decided to go ahead with a femoral head and neck excision. He will need two surgeries to remove the head and neck of the femur, with his muscles and tendons taking over as a false joint. This surgery offers an 84-100% chance that he will live pain free and without further intervention. It is still an expensive surgery with our wonderful vet quoting $2105 for the first surgery and $1960 for the second surgery.
Spending more than $4000 on a cat may seem ridiculous to some. But Kylo isn’t ‘just a cat’. He is our cat. Our house is not a home without him. When we adopted Kylo from Another Chance Animal Rescue we vowed to give him a forever home full of love. And that is what we intend to do!
Regardless of any donations received we WILL go ahead with the surgery as soon as possible to ensure he isn’t in pain for any longer than necessary. Donations would help ease the financial burden at this difficult time of year and we would be forever grateful.

